Creative Biolabs-Lipid Based Drug Delivery

Prolonged Gene Expression with DNA LNPs

Advantage of LNP Prolonged Gene Expression Challenges of DNA Delivery Research Insights Products & Services Resources

While lipid nanoparticle (LNP)-based gene therapy has achieved monumental success with mRNA vaccines, the field faces a new and complex set of challenges in developing durable, long-term therapeutic solutions. Prolonged gene expression with DNA LNPs offers a promising path forward, but requires navigating significant hurdles related to molecule size, cellular barriers, and formulation stability. Creative Biolabs can help customers overcome these challenges by providing innovative research ideas and a comprehensive platform for the development of advanced lipid-based drug delivery systems.

The LNP Advantage: A Non-Viral Alternative

Traditional gene delivery often relies on viral vectors, which, while highly effective, can pose significant safety concerns, including immunogenicity and potential for genomic integration. LNPs have emerged as a powerful non-viral alternative, offering a safer and more scalable platform for encapsulating and delivering nucleic acids. Their self-assembling nature, biocompatibility, and ability to be finely tuned for specific applications make them an attractive choice for next-generation gene therapies, avoiding many of the limitations associated with viral systems.

Achieving Prolonged Gene Expression with DNA LNPs

A fundamental difference between nucleic acid types dictates the duration of their therapeutic effect. As an intermediate molecule, mRNA is designed to be transient; once it has been translated into a protein, it is rapidly degraded by the cell. While this is ideal for applications like vaccines where a short-lived burst of protein production is desired, it presents a challenge for treating chronic conditions that require sustained therapeutic protein levels. Plasmid DNA (pDNA), by contrast, can exist as a stable episome within the cell's nucleus for extended periods. This stability allows for continuous transcription into mRNA, leading to durable and prolonged expression of the therapeutic protein, potentially for months or even years from a single dose. This is a critical advantage for managing diseases like heart disease, diabetes, or certain cancers, where frequent redosing is a major barrier to patient adherence and treatment efficacy.

The Challenge of DNA Delivery

Delivering DNA using LNPs presents a unique set of challenges compared to delivering mRNA. Plasmid DNA is a substantially larger and more rigid molecule, which complicates its efficient encapsulation and release. Furthermore, for a pDNA therapeutic to be effective, the LNP must not only successfully deliver its payload into the cell's cytoplasm but also facilitate the difficult process of nuclear entry. This additional barrier is a key reason why pDNA LNPs have lagged behind their mRNA counterparts, and overcoming it is a critical step for unlocking their therapeutic potential.

Experimental Insights: From Screening to Co-delivery

Drawing from a recent landmark study published in Nature Communications, we highlight the key experimental strategies that are driving innovation in DNA LNP development. The research provides a blueprint for a systematic approach to overcoming the inherent challenges of plasmid DNA delivery.

Schematic illustration of multi-step composition screening of lipid nanoparticles (LNPs) for liver-targeted pDNA delivery. (OA Literature)Fig. 1 Schematic diagram of multi-step composition screening for LNPs delivering pDNA. 1

  • Systematic Screening Platform

This study introduced a multi-step screening platform to efficiently identify optimal LNP formulations from a library of over 1000 candidates. The approach methodically evaluates the impact of different helper lipids and component ratios on gene delivery in vitro and in vivo, providing a data-driven path to down-select the most effective formulations and overcome physiological barriers.

In vitro LNP-mediated pDNA delivery. (OA Literature)Fig. 2 LNP-mediated in vitro transmission of pDNA. 1

  • In Vitro & In Vivo Analysis

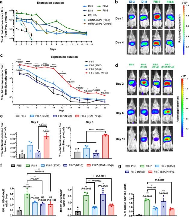
The research analyzed the efficacy of different LNP formulations for pDNA delivery. It demonstrated successful transgene delivery and prolonged expression in the liver of mice following intravenous administration. This work provides crucial data on how a systematically screened LNP can outperform both mRNA LNPs and a traditional commercial DNA transfection agent (in vivo-jetPEI/DNA).

LNP-mediated local intrahepatic pDNA delivery in cluster-mode screening. (OA Literature)Fig. 3 LNP-mediated intrahepatic pDNA delivery. 1

  • DNA/siRNA Co-delivery

A significant innovation was the demonstration of a co-delivery strategy to further extend transgene expression. By co-encapsulating pDNA and siRNA that targets inflammatory response pathways, the research successfully addressed a key barrier to long-term expression. This approach highlights a novel method for enhancing the safety and duration of DNA-based gene medicine applications.

More durable expression of pDNA LNPs and extended transgene expression duration by co-delivery of anti-inflammatory siRNA. (OA Literature)Fig. 4 LNPs that co-deliver anti-inflammatory siRNA and pDNA can prolong gene expression time. 1

The systematic screening platform, in vitro and in vivo analysis, and co-delivery strategy described in the literature demonstrate a powerful approach for developing highly effective DNA-based LNPs. These research insights are a testament to the potential of lipid-based drug delivery systems to unlock durable therapeutic effects. Creative Biolabs can help you apply these principles to your own projects. Contact us to discuss how our expertise can support your research.

Related Products & Services

Creative Biolabs provides specialized services to accelerate your research in prolonged gene expression with DNA LNPs and lipid-based drug delivery systems. We understand the complexities of LNP-based gene therapy and offer a comprehensive suite of services to ensure your project's success, from initial design to final validation.

Services/Products Description Inquiry
Ready-to-use Lipids We offer a rich variety of high-quality lipids, including ionizable lipids such as DSPC, DOPE, DOTAP, and DLin-MC3-DMA, essential for robust LNP formulation. Inquiry
Plasmid Construction Our services include custom plasmid construction to optimize DNA sequences for high-yield expression and incorporation into LNPs. Inquiry
High-throughput LNP Screening Our proprietary platforms enable rapid and efficient screening of large LNP libraries to identify the most effective formulations for your specific therapeutic payload. Inquiry
Co-delivery LNP Development We design and optimize co-delivery formulations, such as DNA/siRNA LNPs, to enhance therapeutic efficacy and achieve desired long-term gene expression profiles. Inquiry

Resources

Reference

  1. Zhu, Yining, et al. "Multi-step screening of DNA/lipid nanoparticles and co-delivery with siRNA to enhance and prolong gene expression." Nature communications 13.1 (2022): 4282. doi: 10.1038/s41467-022-31993-y. Distributed under Open Access license CC BY 4.0, without modification.
For Research Use Only. Not For Clinical Use

Supports

Formulation Background of Liposome Research Highlights
Resources Technical Supports Featured Services Knowledge Center
Optimizing LNP Molar Ratios for Transfection Efficiency
Scalability Challenges in mRNA-LNP Manufacturing
Beyond mRNA: LNP Delivery for CRISPR/Cas9
Cationic Lipids Evolution: DOTAP to Ionizable Lipids
LNP Storage Stability: Lyophilization vs. Liquid
Modulating LNP Biodistribution: Overcoming Liver Accumulation
Active vs. Passive Targeting (EPR): A Guide to Tumor Drug Delivery
Immunoliposomes: Comparing Pre-insertion vs. Post-insertion Techniques
Crossing the BBB: Advances in Transferrin and Peptide-Modified Liposomes
pH-Responsive Liposomes for Tumor Microenvironment
Thermosensitive Liposomes combined with HIFU
Aptamer-Modified Liposomes: A Cost-Effective Antibody Alternative
Ethosomes vs Transfersomes for Dermal Delivery
Strategies for Encapsulating Poorly Water-Soluble Small Molecules in Liposomes
Multivesicular Liposomes: The Architecture of Sustained Release
Mechanisms of Liposomal Adjuvants in Enhancing Vaccine Immune Response
Protecting Enzymatic Activity: Liposomal Encapsulation Strategies for Enzymes
Cryo-TEM vs. DLS: Interpreting Discrepancies in Liposome Particle Size Data
Validating In Vitro Release Methods: Dialysis vs. Sample Separation Techniques
Predicting Long-Term Stability of Liposomal Suspensions using Zeta Potential
Troubleshooting Low Liposome Encapsulation Efficiency
Application of Multi-omics Analysis in Liposome Toxicology Assessment
The Ultimate Guide to Liposome Preparation
Fluorescent Liposomes for Cellular Uptake: Labeling, Controls, and Troubleshooting
How to Design Stealth Liposomes for Long Circulation
Homemade vs. Commercial Kits: Why Standardization Matters in Liposome Research
Develop Targeted Liposomes: Target Selection to Cellular Validation
Optimizing Ligand Density on Liposomes for Targeted Delivery
Directional Antibody Conjugation and Activity Retention in Immunoliposome Development
Peptide-Modified Liposomes: Screening and Conjugation Strategies
High-Affinity Aptamers and Efficient Liposomal Delivery
When to Use Cleavable PEG in Lipid-Based Delivery
Glycosylated Liposomes: Balancing Receptor-Mediated Uptake and Immune Recognition
Folic Acid and Other Vitamin Ligands for Targeted Liposomes
Formulation Optimization to Targeting: Liposome Parameters and Biological Readouts
Imaging Liposome Development: Labeling Strategy, Signal-to-Noise Ratio, and Stability
Charged Liposome Development: Cationic vs Neutral vs Anionic
Cationic Liposome Development for Efficient Transfection with Reduced Toxicity
Neutral Liposome Development for Stability and Long Circulation
Anionic Liposomes in Drug Delivery: Surface Charge and Cellular Uptake
PG Anionic Liposome: Membrane Stability and Payload Compatibility
Transfersome Development: Edge Activators, Size Optimization, and Permeation Testing
High-Ethanol Ethosomes: Drug Loading, Stability, and Skin Irritation in Transdermal Delivery
Dermal Delivery: Franz Diffusion Cells vs. Dialysis
Liposomes Fail in Skin Applications: A Practical Troubleshooting Guide
Key CQAs for Liposomal Skin Delivery: Stability, Loading and Irritation
Gradient Loading and Formulation Design for Small Molecule Liposomes
Protein & Peptide Liposomes: Preventing Denaturation and Controlled Release
Liposome vs. LNP: The Key Difference in Nucleic Acid Delivery
Nucleic Acid Liposomal Delivery: Endosomal Escape and Expression
Prodrug Liposomes: Translating Chemical Design into Delivery Advantages
Enzyme-Loaded Liposomes: Activity Retention, Protection & Batch Consistency
Adjuvant Liposome Composition Shapes the Immune Activation Window & Safety Profile
Multivesicular Liposomes: High Payload Capacity for Sustained Drug Release
Encapsulation vs. Delivery: Payload Compatibility in Liposomal Formulations
Liposome Payload Troubleshooting: Low Encapsulation, Precipitation & Uncontrolled Release
Webinars

Online Inquiry