Acetic Acid induced Gastric Ulcer Modeling & Pharmacodynamics Service
Introduction
Gastric ulcers are open sores that form on the inner lining of the stomach due to an imbalance between aggressive factors, such as stomach acid, and protective factors, like the mucosal barrier. These ulcers can be induced by various agents, including acetic acid, which is often used in preclinical studies to replicate chronic ulceration in experimental settings. Acetic acid induces persistent gastric injury that mimics human ulceration caused by factors like stress, excessive alcohol consumption, and the use of nonsteroidal anti-inflammatory drugs (NSAIDs). Symptoms of gastric ulcers include abdominal pain, nausea, vomiting, and, in severe cases, gastrointestinal bleeding. Early intervention is essential to prevent complications such as perforation or gastric obstruction. The acetic acid-induced rodent model provides a reliable and reproducible system to study the pathogenesis of gastric ulcers and to test potential therapeutic agents. Creative Biolabs offers preclinical studies using this model to evaluate the efficacy of new treatments under controlled conditions. Our services include comprehensive preclinical studies to assess the effectiveness of therapeutic candidates under controlled conditions.
Disease Models and Applications
The acetic acid-induced rodent gastric ulcer model is created by intragastric administration of acetic acid to rodents, which causes localized tissue injury in the gastric mucosa. The acid induces ischemia, inflammation, and necrosis in the affected area, leading to ulcer formation. The model is characterized by its ability to produce chronic ulcers that closely resemble the human condition, offering valuable insights into the long-term effects of gastric mucosal injury. It is widely used for evaluating the efficacy of therapeutic candidates, particularly those aimed at enhancing mucosal protection, reducing inflammation, and promoting tissue healing. The acetic acid model has the advantage of producing ulcers with a consistent, reproducible size, making it useful for testing drug efficacy over extended periods. However, it is primarily used to study chronic ulcers and may not fully represent ulcers caused by acute factors like alcohol ingestion or H. pylori infection.
- Simulates: This model simulates chronic gastric mucosal damage, mimicking the pathophysiology of gastric ulcers resulting from ischemia and inflammation, which can be caused by factors such as stress, alcohol, or NSAIDs.
- Evaluates Drugs: The acetic acid-induced model is used to evaluate therapeutic agents, including proton pump inhibitors (PPIs), H2-receptor antagonists, mucosal protectants, and anti-inflammatory drugs.
Measurements
Creative Biolabs offers a comprehensive suite of measurements to assess the efficacy of therapeutic agents in the acetic acid-induced gastric ulcer model. These include:
- General observations: Body weight, ulcer area measurement, food/water intake, and signs of gastric distress such as reduced activity or abnormal behavior.
- Endoscopic evaluation: Direct visualization of ulcer size and severity in the gastric mucosa, allowing for accurate measurement of ulceration progression over time.
- Histopathological analysis: Detailed examination of gastric tissue to assess the extent of mucosal erosion, necrosis, inflammation, and hemorrhage using hematoxylin and eosin (H&E) staining.
- Cytokine profiling (e.g., ELISA): Quantification of pro-inflammatory cytokines such as TNF-α, IL-6, and IL-1β, which are elevated in ulceration.
- Oxidative stress markers: Measurement of reactive oxygen species (ROS) levels and antioxidant enzyme activity, including superoxide dismutase (SOD) and catalase.
- Gene/protein expression profiling via RT qPCR and Western blot techniques: Expression analysis of gastric injury markers such as COX-2, MMPs, and mucin proteins, which are associated with inflammation and tissue repair.
In addition to these standard measurements, our team can tailor the evaluation process to include additional assessments based on specific research needs or therapeutic candidates.
Related Services
In addition to the acetic acid-induced gastric ulcer model, we also provide other methods to induce gastric ulcers, offering a broader range of research options.
Advantages
- Expertise and Experience: With years of experience in preclinical ulcer research, we offer scientifically rigorous and reliable models that replicate the chronic nature of gastric ulceration.
- Comprehensive Services: From experimental design and model selection to data analysis and interpretation, we provide full support to ensure the success of your study.
- Cutting-Edge Technologies: Our advanced technologies, including endoscopic evaluations, cytokine profiling, and histopathological analysis, enable precise and meaningful results.
- Customized Models: In addition to the established acetic acid model, we have the flexibility to develop custom rodent models based on specific research requirements or therapeutic targets.
- Collaborative Approach: Our scientific team works closely with clients to ensure that every phase of the study aligns with the research objectives and timelines.
- Reliable Results: Our rigorous quality control measures ensure reproducible and consistent results, providing dependable data for evaluating therapeutic candidates.
Work with Us
- Summarize the project requirements and fill in the information collection form.
- Sign a CDA from both parties to further communicate information, such as targets.
- Select an animal model, discuss experimental design, and determine assay parameters.
- Project costing and project schedule forecasting.
- We provide a detailed project plan, including the required sample quantities, methods, and protocols.
- Both parties confirm the project details and start the project.
- Confirm the timeline of the project.
- We provide periodic results and information on the animal's condition.
- We will work together to make project adjustments as necessary.
- We provide a comprehensive project report promptly.
- We arrange transportation for the produced samples.
- We provide a discussion of the project results and help to arrange the next steps.
- Data storage and archiving.
FAQs
-
Q1: How long does it take to conduct a study using your acetic acid-induced gastric ulcer model?
A1: The duration of the study varies depending on the specific research goals and model design, but typically, studies take from a few weeks to a couple of months, including data collection and analysis.
-
Q2: What support do you provide during the study?
A2: Our team offers full support throughout the project, including experimental design, model selection, data analysis, and results interpretation, ensuring a smooth and effective process.
-
Q3: Do you offer other disease models beyond gastric ulcers?
A3: Yes, in addition to the acetic acid-induced gastric ulcer model, we provide a wide range of rodent disease models, including models for liver disease, cancer, atherosclerosis, and kidney fibrosis.
-
Q4: How do I get started with your services?
A4: Simply contact us to discuss your research goals. Our team will guide you through the process of model selection, experimental design, and study timeline to begin your project.
-
Q5: Are your models validated for publication?
A5: Yes, all our models are based on well-established scientific protocols and are validated to generate data suitable for publication in high-quality, peer-reviewed journals.
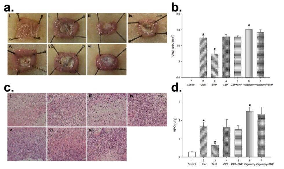
Fig. 1 Sodium nitroprusside (SNP) reduced acetic acid-induced gastric ulcers in rats, with the effect being mediated through TRPV1 and the vagus nerve.1
Published Data
This study aimed to explore the effects of nitric oxide (NO) on acetic acid-induced gastric ulcers in rats and the underlying mechanisms. (a) Photographs demonstrate the gross appearance of the gastric mucosa in rats treated with acetic acid, showing distinct ulceration in the stomach wall compared to the normal tissue in the NS control group. Ulcers of varying sizes were observed in the six acid-treated groups, with no ulceration in the NS control group. (b) A summary of the gastric ulcer area (UA) measurements across the seven groups reveals that SNP treatment significantly reduced the ulcer area. The TRPV1 antagonist did not increase the ulcer area but diminished the effect of SNP. (c) Histopathological examination of the gastric mucosa across five groups further supported these findings. (d) The local levels of myeloperoxidase (MPO) in the rat stomach were measured, showing significantly higher MPO activity in the ulcer control group. These results suggest that SNPs can mitigate acetic acid-induced gastric ulcers through TRPV1 and vagus nerve pathways, with the vagus nerve playing a critical role in mediating its protective effects.
Reference
- Han, Ting et al. "Nitric oxide donor protects against acetic acid-induced gastric ulcer in rats via S-nitrosylation of TRPV1 on vagus nerve." Scientific Reports vol. 7,1 2063. 18 May. 2017, doi:10.1038/s41598-017-02275-1. Distributed under an Open Access license CC BY 4.0, without modification.
For Research Use Only.
