Duchenne Muscular Dystrophy (DMD) Modeling & Pharmacodynamics Service
Creative Biolabs has accumulated years of experience in preclinical pharmacology studies and we provide services of drug efficacy evaluation in well-established disease models. Particularly, we conduct contract efficacy studies in the mdx model of Duchenne muscular dystrophy (DMD) with your promising drug candidates. Moreover, different outcome measures are available and can be customized to your specific research needs.
Introduction of DMD
DMD is a progressive muscle wasting disease that affects approximately 1 in 3500 male births. It is caused by mutations in a large 79-exon gene encoding the dystrophin protein. The majority of mutations identified in DMD are frameshift mutations that result in complete loss of dystrophin. Patients typically present at 2-5 years of age with a waddling gait, calf hypertrophy, and difficulties in rising from the floor.There is currently no cure for DMD and clinical management involves treatment with steroids combined with respiratory and cardiac support. Preclinical DMD research has benefited from the availability of a number of animal models of the disease, among which the mdx mouse is the most commonly used and best characterized.
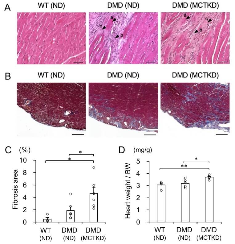
Fig. 1 Histopathological analyses of left ventricular tissues from DMD rats. 1
Mdx Model of DMD
The mdx mouse model for DMD is routinely used to study the efficacy and toxicity of disease modifier compounds. It is a spontaneous mutant which arose in a C57BL/10 mouse colony with a point mutation in exon 23 at the 5' end of dystrophin, which causes premature termination of transcription. Therefore, the mdx mouse is therefore both a genetic and biochemical model of DMD.
As what is seen in DMD patients, the mdx mouse shows repeated cycles of degeneration and regeneration in the muscles. However, this is transient in mdx mice with limited necrosis and fatty replacement, while the degeneration in DMD patients is progressive. Besides the less severe phenotype, the lifespan of mdx mice is not significantly shortened (~25%), as compared to humans (~75%). Nonetheless, the mdx mouse model has gone on to prove valuable in assessing the activity of drugs as well as performing proof-of-concept experiments. Moreover, it is relatively cheap and easy to maintain.
Assessments
Creative Biolabs conducts contract studies in the mdx model of DMD and provides various outcome measures for assessments of potential therapeutics. Firstly, the efficacy of treatment can be reflected by a reduction in fibrosis, necrotic fiber number, and inflammatory infiltration, which can be observed and quantified with histological analysis of tissue sections stained with H&E, fluorescence, and other dyes. Moreover, we provide functional assessments of muscle pathology including behavioral tests of motor function, respiratory function assessment, and cardiac function assessment. Briefly, Creative Biolabs provides assessments including but not limited to:
- Histological analysis (e.g., H&E, DAPI, Evans Blue Dye)
- Behavioral tests of motor function, cognition, social behavior
- Respiratory function assessment (whole body plethysmography)
- Cardiac function assessment
- Serum biomarker analysis
- Magnetic resonance imaging (MRI)
The neurological platform of Creative Biolabs provides an extensive range of rodent neurological disease models. If you are interested, click the following links for more detailed description of each model:
Creative Biolabs has a group of scientists who are specialized in drug efficacy studies and they can help design the studies and end-point analysis to obtain rapid and clinically relevant answers to our clients. Moreover, with our genetically engineering model platform, we are capable of providing customized genetically modified mice models of DMD to suit the particular needs of our clients. Contact us to learn more about our services.
Reference
- Fujikura, Yuri, et al. "A medium-chain triglyceride containing ketogenic diet exacerbates cardiomyopathy in a CRISPR/Cas9 gene-edited rat model with Duchenne muscular dystrophy." Scientific Reports 12.1 (2022): 11580. Distributed under Open Access license CC BY 4.0, without modification.
For Research Use Only.
