High-Fat & High-Carbohydrate (HFHC) Diet induced Non-Alcoholic Steatohepatitis (NASH) Modeling & Pharmacodynamics Service
Creative Biolabs offers a variety of preclinical models to assess the efficacy of drugs targeting NASH, including diet-induced, chemical-induced, and genetic models, ensuring comprehensive evaluation of potential therapies.
Introduction
Non-Alcoholic Steatohepatitis (NASH) is a severe form of Non-Alcoholic Fatty Liver Disease (NAFLD), characterized by liver inflammation, fat accumulation, and hepatocellular damage in individuals who do not consume excessive alcohol. NASH is considered a leading cause of liver cirrhosis, liver failure, and hepatocellular carcinoma (HCC). It is strongly associated with metabolic disorders such as obesity, insulin resistance, and type 2 diabetes. The disease progresses through stages, starting with simple steatosis, advancing to steatohepatitis, and eventually leading to fibrosis and cirrhosis. While the exact mechanisms of NASH are still under investigation, it is clear that inflammation, oxidative stress, and dysregulated lipid metabolism play critical roles in disease progression. The rising global prevalence of NASH is a significant health concern, with no FDA-approved treatments currently available. Early detection and intervention are key to preventing the progression of NASH to more severe liver conditions.
Disease Models and Applications
The High-Fat & High-Carbohydrate Diet induced NASH Model is commonly used to simulate the pathological features of human NASH. This model typically involves feeding rodents a diet rich in fat and carbohydrates to induce insulin resistance, lipid accumulation, and inflammation in the liver. This diet induces metabolic disturbances similar to those observed in human patients, leading to hepatic steatosis, inflammation, fibrosis, and ultimately the development of NASH. The key advantage of this model is its ability to replicate the chronic, progressive nature of NASH as seen in human patients. However, a limitation of this model is that it may not fully replicate the genetic and environmental factors involved in human NASH, and the onset of disease can be slower compared to human progression.
- Simulates: The High-Fat & High-Carbohydrate Diet induced NASH model simulates human NASH, a liver condition often associated with metabolic diseases such as obesity, diabetes, and insulin resistance.
- Evaluates Drugs: This model is used to evaluate drugs targeting various aspects of NASH pathogenesis, including anti-inflammatory agents, antioxidants, lipid-lowering agents, and therapies aimed at fibrosis. It is commonly used to assess the effectiveness of compounds that could reduce liver inflammation, inhibit fibrosis progression, and promote liver regeneration.
Fig. 1 Key nonalcoholic fatty liver disease (NAFLD)/nonalcoholic steatohepatitis (NASH) histological features observed in different diet-induced rat models.1
Measurements
We offer a variety of measurements for evaluating drug efficacy in the High-Fat & High-Carbohydrate Diet induced NASH Model, utilizing advanced techniques, including but not limited to:
- General observations: body weight, liver weight, serum ALT/AST levels, hepatic lipid content.
- Histopathology: Hematoxylin and eosin (H&E) staining to assess liver tissue architecture and identify inflammation, steatosis, and fibrosis.
- Immunohistochemistry: Detection of inflammatory cells (e.g., macrophages, neutrophils) and markers of oxidative stress in liver tissues.
- Cytokine profiling (e.g., ELISA): Analysis of pro-inflammatory cytokines such as TNF-α, IL-6, and IL-1β.
- Gene/protein expression profiling: Using RT qPCR and Western blotting to measure key molecules involved in fibrosis (e.g., collagen I, α-SMA), liver regeneration, and metabolic dysfunction.
- Liver function biomarkers: Monitoring of liver enzymes (ALT, AST), bilirubin levels, and other serum markers of liver injury.
In addition to established NASH models, our team can develop customized animal models tailored to your research needs, offering guidance in experimental design, model selection, and data interpretation.
Related Services
In addition to the High-Fat & High-Carbohydrate Diet induced NASH Model, we also offer models induced by other methods, such as toxicant induced liver injury (e.g., using carbon tetrachloride or thioacetamide) or genetically engineered mice with NASH-like phenotypes. These alternative models provide further options for studying NASH in different contexts. We are committed to providing comprehensive support across all stages of preclinical research.
- Diet induced Obesity (DIO) Mouse NASH Model
- High-Fat Diet induced NASH Model
- Methionine Choline-Deficient (MCD) Diet induced NASH Model
- Choline-Deficient L-Amino Acid-Defined (CDAA) Diet induced NASH Model
- High-Fat & High-Cholesterol Diet induced NASH Model
- High-Fat & High-Cholesterol Diet & Fructose induced NASH Model
- High-Fat & Fructose induced NASH Model
- Diethylnitrosamine (DEN) & High-Fat & High-Carbohydrate Diet induced NASH Model
- High-Fat & CCL4 induced NASH Model
- Streptozotocin (STZ) & High-Fat induced NASH Model
- MC4R KO Mouse Model
- LDLR KO Mouse Model
Advantages
- Expertise in NASH Research: Our team has in-depth knowledge of NASH pathogenesis and therapeutic development.
- Tailored Solutions: We offer customized animal models and experimental designs to meet the specific needs of your project.
- Advanced Technologies: Access to cutting-edge techniques in histopathology, molecular biology, and biomarker analysis.
- High-Quality Data: We ensure that all experimental results are robust, reproducible, and reliable, facilitating regulatory submissions and clinical trial readiness.
- Comprehensive Support: From model development to data analysis, we provide end-to-end services to accelerate your research.
Work with Us
- Summarize the project requirements and fill in the information collection form.
- Sign a CDA from both parties to further communicate information, such as targets.
- Select an animal model, discuss experimental design, and determine assay parameters.
- Project costing and project schedule forecasting.
- We provide a detailed project plan, including the required sample quantities, methods, and protocols.
- Both parties confirm the project details and start the project.
- Confirm the timeline of the project.
- We provide periodic results and information on the animal's condition.
- We will work together to make project adjustments as necessary.
- We provide a comprehensive project report promptly.
- We arrange transportation for the produced samples.
- We provide a discussion of the project results and help to arrange the next steps.
- Data storage and archiving.
FAQs
-
Q: How long does it take to develop the High-Fat & High-Carbohydrate Diet induced NASH Model?
A: The development of this model typically takes 4-8 weeks, depending on the specific research requirements.
-
Q: Can this model be used to assess drug safety?
A: Yes, the High-Fat & High-Carbohydrate Diet induced NASH model can also be used to evaluate drug safety, particularly liver toxicity.
-
Q: What is the ideal dosage for drug testing in this model?
A: The dosage varies depending on the drug and the specific therapeutic target. Our team can assist in determining the most appropriate dosing regimen based on your compound and goals.
-
Q: Are there any other models for evaluating NASH?
A: Yes, we offer other NASH models, including those induced by chemical agents or genetic modification. Contact us for more details.
Published Data
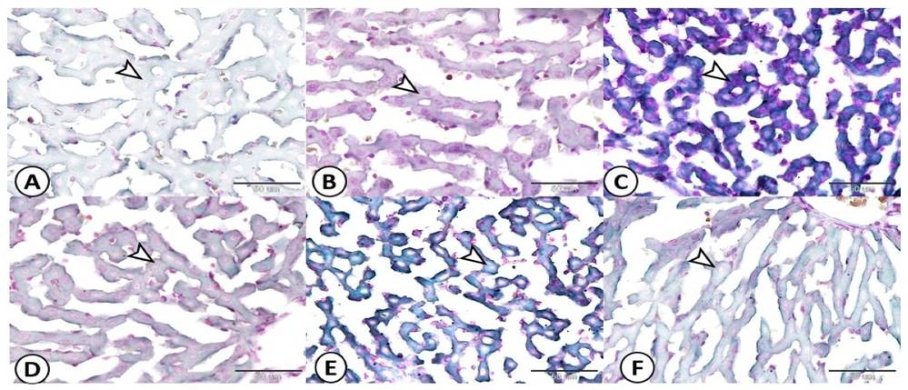
Fig. 2 Photomicrograph of hepatic tissues of different treated groups. Sudan black B.2
Figure 2 presents a photomicrograph of hepatic tissues from various experimental groups. In the control group (A), the liver exhibited a minimal amount of lipid in the cytoplasm of hepatocytes (indicated by arrow). The HCD-LFD and HMCF groups (B, E) showed a moderate accumulation of lipid in the cytoplasm of hepatocytes (arrow). In contrast, the HSF-LCD group (C) demonstrated a high level of lipid content in the hepatocyte cytoplasm (arrow). The HMUSF group (D) displayed a slight lipid accumulation in hepatocyte cytoplasm (arrow). Lastly, the livers from the HCHF group (F) exhibited a mild amount of lipid in the cytoplasm of hepatocytes (arrow). Sudan black B staining was used, with a scale bar of 50 μm.
References
- Carreres, Lydie et al. "Modeling Diet induced NAFLD and NASH in Rats: A Comprehensive Review." Biomedicines vol. 9,4 378. 2 Apr. 2021, DOI:10.3390/biomedicines9040378. Distributed under an Open Access license CC BY 4.0, without modification.
- Aljahdali, Bayan Abdulhafid et al. "The Development of Nonalcoholic Fatty Liver Disease and Metabolic Syndromes in Diet induced Rodent Models." Life (Basel, Switzerland) vol. 13,6 1336. 7 Jun. 2023, DOI:10.3390/life13061336. Distributed under an Open Access license CC BY 4.0, without modification.
For Research Use Only.
