Chronic Kidney Disease (CKD) Modeling & Pharmacodynamics Services
Creative Biolabs offers a wide range of well-established chronic kidney disease (CKD) models for evaluating the efficacy of new drugs. These models simulate the pathophysiology of human CKD and enable thorough preclinical assessment. From experimental design to data interpretation, our team of experts ensures that you receive high-quality, reliable results for your CKD research needs.
Introduction
Chronic Kidney Disease (CKD) refers to the gradual loss of kidney function over time. It is classified into five stages based on the glomerular filtration rate (GFR), with stage 1 representing mild kidney damage and stage 5 indicating kidney failure. Common causes of CKD include diabetes, hypertension, glomerulonephritis, and polycystic kidney disease. CKD can lead to severe complications such as cardiovascular disease, anemia, and bone disorders, and it often progresses to end-stage renal disease (ESRD), requiring dialysis or kidney transplantation. The disease can be further categorized into various types based on the underlying pathology, including diabetic nephropathy, hypertensive nephrosclerosis, and nephritis. Early diagnosis and management are crucial to slow the progression of the disease. Treatment strategies often focus on controlling blood pressure, blood sugar levels, and managing complications such as edema and electrolyte imbalances.
Chronic Kidney Disease (CKD) Models
Creative Biolabs provides a comprehensive range of rodent models for Chronic Kidney Disease (CKD). These well-established animal models are designed to replicate human CKD conditions, allowing for the evaluation of therapeutic candidates targeting renal function, fibrosis, inflammation, and nephropathy. Our CKD models are meticulously designed to simulate the pathophysiology of kidney disease and provide valuable insights into the progression of renal injury. Our team of skilled scientists is dedicated to guiding you through every stage of your research project, from initial design to data analysis, ensuring accurate and reliable results. With our support, you can confidently assess the therapeutic potential of drug candidates in CKD research. Explore the various CKD models we offer to advance your preclinical studies by clicking the links below:
Fig. 1 Chronic kidney disease pathogenesis. 1
| CKD Model | Simulates | Evaluates Drugs | Animal species |
| Unilateral Ureter Obstruction (UUO) Model | Renal fibrosis and progressive kidney injury | Anti-fibrotic drugs, inflammation modulators, and kidney protection therapies | Mouse, Rat |
| Bilateral Ureteral Obstruction Induced Renal Fibrosis Model | Obstructive nephropathy and renal fibrosis | Renal fibrosis inhibitors, anti-inflammatory agents, and kidney regeneration therapies | Rat |
| 5/6 Nephrectomy Model | Chronic renal failure and nephrectomy Induced CKD | Kidney protective drugs, anti-inflammatory agents, and stabilizers of kidney function | Rat |
| Adriamycin Induced Nephropathy (AN) Rodent Model | Nephropathy induced by Adriamycin (chemotherapy) | Renal damage mitigators, anti-proteinuric drugs, nephroprotective therapies | Rat |
| Folic acid (FA) Induced Renal Fibrosis Model | Kidney fibrosis induced by folic acid | Anti-fibrotic agents, renoprotective drugs, fibrosis reversal therapies | Mouse, Rat |
| Adenine Induced Chronic Renal Failure Model | Chronic renal failure caused by adenine administration | Renal failure mitigation drugs, anti-inflammatory, and anti-fibrotic treatments | Rat |
Evaluation Platform
- Animals: Mouse, Rat, NHPs
-
Measurements
We offer a variety of measurements to evaluate drug efficacy in our rodent chronic kidney disease models, utilizing advanced technologies, including but not limited to:- General Observations: Body weight, mortality rate, renal function (serum creatinine, BUN levels), and urine output.
- Histopathological Analysis: Kidney tissue damage, fibrosis (Masson's Trichrome staining), and tubular atrophy.
- Immunohistochemistry: Infiltration of immune cells (e.g., T-cells, macrophages) in renal tissues, assessment of fibrosis markers (e.g., collagen I, α-SMA).
- Cytokine Profiling (e.g., ELISA): Expression levels of inflammatory mediators such as TNF-α, IL-6, IL-1β.
- Hematology Analysis and Serum Biomarkers: Blood urea nitrogen (BUN), serum creatinine, and kidney injury molecule-1 (KIM-1).
- Gene/Protein Expression Profiling via RT-qPCR and Western Blot Techniques: Renal fibrosis markers, inflammatory cytokines, and cell apoptosis markers.
In addition to our well-established CKD models, our team specializes in the development of novel animal models tailored to specific research needs. We assist in experimental design, model selection, and data analysis to ensure a customized and effective approach to your CKD research.
Related Services
In addition to CKD models, we also offer a variety of animal models for other urinary system diseases, enabling comprehensive preclinical evaluation of therapeutic candidates for conditions such as bladder cancer, urinary tract infections, and kidney stones. Here's an overview of these models:
- Autoimmune Nephropathy Models
- Acute Kidney Injury (AKI) Models
- Metabolic Nephropathy Models
- Hyperuricemia Models
- Kidney Transplantation Models
- Cystitis Models
Our advantages
- Comprehensive Expertise: We provide a broad spectrum of well-established animal models, covering not just CKD but a wide range of other urinary and digestive system diseases, enabling you to address multiple therapeutic challenges with one partner.
- Tailored Solutions: Our team works closely with you to develop customized models that suit your specific research goals, ensuring the highest relevance and precision for your studies.
- Advanced Technology: We utilize cutting-edge technologies in data analysis, histology, and biomarker profiling, giving you reliable and high-quality results to advance your therapeutic evaluations.
- Collaborative Approach: Our scientists are actively involved in every stage of your project, providing support in experimental design, data interpretation, and optimizing study protocols to maximize your research outcomes.
- Quick and Efficient Turnaround: We understand the importance of timely results, offering a streamlined process that delivers dependable outcomes without unnecessary delays, ensuring your project progresses smoothly and efficiently.
Work with Us
- Summarize the project requirements and fill in the information collection form.
- Sign a CDA from both parties to further communicate information, such as targets.
- Select an animal model, discuss experimental design, and determine assay parameters.
- Project costing and project schedule forecasting.
- We provide a detailed project plan, including the required sample quantities, methods, and protocols.
- Both parties confirm the project details and start the project.
- Confirm the timeline of the project.
- We provide periodic results and information on the animal's condition.
- We will work together to make project adjustments as necessary.
- We provide a comprehensive project report promptly.
- We arrange transportation for the produced samples.
- We provide a discussion of the project results and help to arrange the next steps.
- Data storage and archiving.
FAQs
-
1. What types of CKD models do you offer?
We offer several well-established CKD models, including UUO, Bilateral Ureteral Obstruction Induced Renal Fibrosis, 5/6 Nephrectomy, Adriamycin Induced Nephropathy, Folic Acid Induced Renal Fibrosis, and Adenine Induced Chronic Renal Failure models.
-
2. Can I request a custom CKD model for my research?
Yes, we specialize in the development of novel animal models tailored to specific research needs. Our team can assist you in designing the perfect model for your research goals.
-
3. How can I evaluate drug efficacy in CKD models?
We offer a variety of methods, including general observations (body weight, kidney function), histopathological analysis, immunohistochemistry, cytokine profiling, and gene/protein expression studies.
-
4. What is the turnaround time for receiving results?
The turnaround time varies depending on the complexity of the model and the experiments. Typically, results are available within a few weeks after study completion.
Published Data
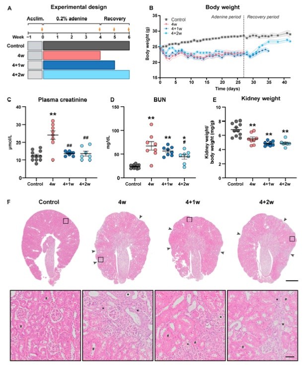
Fig. 2 Kidney function was recovered despite persistent kidney weight loss and scarring in adenine-fed mice.1
To induce severe chronic kidney disease (CKD), mice were fed an adenine-enriched diet for 4 weeks, followed by a switch to a control diet for an additional 1 or 2 weeks to assess potential kidney recovery (Figure 2A). Each group consisted of at least 7 mice. Adenine-fed mice exhibited weight loss starting on day 2, which stabilized by day 14 (Figure 2B). After switching to the control diet, body weight (BW) began to increase, and by day 7, the BW of the 4+2-week group was similar to that of the normal control mice. Mice were housed in metabolic cages to measure individual food and water intake as well as urine output. Plasma levels of both metabolites were undetectable. Kidney function, evaluated by plasma creatinine and blood urea nitrogen (BUN), was impaired after 4 weeks of adenine feeding, but both parameters showed improvement during the recovery phase (Figure 2C, D). Despite significant functional recovery, kidney weight decreased persistently, and the kidneys displayed macroscopic shrinkage and reduced tubule mass during the recovery phase (Figure 2E, F).
Reference
- Ma, Ke et al. "Pathogenesis of Chronic Kidney Disease Is Closely Bound up with Alzheimer's Disease, Especially via the Renin-Angiotensin System." Journal of clinical medicine vol. 12,4 1459. 12 Feb. 2023. https://doi.org/10.3390/jcm12041459 Distributed under an Open Access license CC BY 4.0, using Part of the original image.
For Research Use Only.
