Ferric Chloride induced Thrombosis Modeling & Pharmacodynamics Service
Introduction
Thrombosis, the pathological formation of blood clots within blood vessels, represents a critical challenge in cardiovascular health, leading to severe conditions such as myocardial infarction, stroke, and deep vein thrombosis (DVT). Understanding the intricate mechanisms of clot formation and developing effective therapeutic interventions are paramount.
At Creative Biolabs, our expertise in preclinical research enables us to provide a diverse array of well-established in vivo models, specifically designed to rigorously evaluate the efficacy of novel antithrombotic and thrombolytic agents.
Ferric Chloride-Induced Thrombosis Model
The ferric chloride (FeCl3)-induced thrombosis model is a widely adopted and highly reliable in vivo tool for investigating arterial and venous thrombus formation. This model is instrumental in deciphering the cellular and molecular mechanisms contributing to thrombosis and, crucially, in assessing the antithrombotic potential of new drug candidates. Its primary function is to create a reproducible thrombotic event in a controlled environment, allowing researchers to quantify the effects of various interventions on clot initiation, growth, and stability.
Fig.1 Illustration of the establishment of FeCl3-induced thrombosis mouse model.1,3
Model Construction Steps
The construction of the FeCl3-induced thrombosis model involves a precise and standardized strategy to induce localized oxidative damage to a blood vessel, leading to thrombus formation.
01Anesthesia and Surgical Exposure
Rodents (typically mice or rats) are anesthetized, and a specific blood vessel, most commonly the carotid artery or jugular vein, is carefully exposed through micro-surgical techniques.
02Ferric Chloride Application
A small piece of filter paper soaked in a precisely determined concentration of ferric chloride solution (e.g., 50% FeCl3) is applied topically to the outer surface of the exposed vessel for a predefined duration (e.g., 10 minutes). This application induces oxidative injury to the endothelium.
03Thrombus Monitoring
Following FeCl3 application, the formation of the thrombus is monitored in real-time. This is often achieved using a Doppler flow probe positioned distal to the injury site to measure blood flow changes, allowing for the determination of time to occlusion.
04Endpoint Assessment
After a set period or upon complete occlusion, the vessel and thrombus can be harvested for various downstream analyses, including histological examination, thrombus weight measurement, or molecular and cellular assays.
Strengths and Limitations
Strengths:
- High Reproducibility: Consistent thrombus formation kinetics and composition ensure reliable and statistically robust data.
- Cost-Effectiveness: Relatively simple surgical procedure and minimal specialized instrumentation make it an economical choice.
- Mechanistic Relevance: Mimics key aspects of vascular injury-induced thrombosis, involving both platelet activation and coagulation cascade.
- Versatility: Adaptable for studying both arterial and venous thrombosis across various rodent species.
- Quantitative Endpoints: Provides clear, measurable outcomes like time to occlusion, thrombus weight, and histological features.
- Clinical Sensitivity: Demonstrates responsiveness to a wide range of clinically approved antiplatelet and anticoagulant drugs.
Limitations:
- Artificial Injury: The chemical induction is not fully physiological, differing from naturally occurring vascular damage.
- Complex Mechanism: Involves multifaceted processes, including erythrocyte involvement and physicochemical agglutination, which can complicate direct interpretation.
- Absence of Atherosclerosis: Typically performed on healthy vessels, it does not fully replicate thrombosis on the background of atherosclerotic plaques seen in human disease.
Evaluation Platform
Creative Biolabs provides a comprehensive evaluation platform leveraging state-of-the-art instruments and assays to deliver in-depth insights into drug efficacy. Our capabilities span biochemical, molecular, cellular, histopathological, behavioral, and advanced imaging techniques, ensuring a holistic assessment of your compounds.
Key Test Indicators:
- Time to occlusive thrombus formation (Doppler flowmetry)
- Thrombus weight and size
- Histological analysis of thrombus composition (e.g., fibrin, platelet, RBC content)
- Immunohistochemistry for specific markers (e.g., tissue factor, P-selectin)
- Platelet aggregation and activation markers (e.g., flow cytometry)
- Coagulation parameters (e.g., PT, aPTT, thrombin generation)
- Biomarker analysis (e.g., D-dimer, thrombin-antithrombin complexes)
Applications
- Simulation of Diseases: This model primarily simulates acute arterial thrombosis, relevant to myocardial infarction and ischemic stroke, and effectively models venous thrombosis, including DVT and pulmonary embolism (PE). Its localized injury induction allows for studying the immediate thrombotic response characteristic of these acute events.
- Evaluation of Antiplatelet Drugs: The model effectively assesses compounds inhibiting platelet function, including P2Y12 inhibitors and integrin αIIbβ3 inhibitors. Its suitability for monitoring platelet-rich thrombus formation makes it ideal for these evaluations.
- Evaluation of Anticoagulant Drugs: Beyond antiplatelet agents, the FeCl3 model is valuable for testing compounds that prevent blood coagulation, such as classic anticoagulants like heparin and coumarin derivatives. It provides insights into how these agents impact the fibrin component of the thrombus.
- Evaluation of Thrombolytic Agents: For acute thrombotic events, the FeCl3 model can evaluate thrombolytic agents by allowing thrombus formation and stabilization, then assessing the test compound's capacity to lyse the existing clot. This provides critical data for drugs aimed at restoring blood flow.
- Investigation of Novel Therapeutic Targets: The model serves as an excellent platform for exploring the impact of modulating new molecular pathways on thrombus formation. Researchers can utilize genetic knockouts or specific inhibitors to investigate novel proteins, receptors, or signaling molecules in the thrombotic cascade, aiding in new drug target identification.
- Assessment of Combination Therapies: Given thrombosis's multifaceted nature, combination therapies are common. The FeCl3 model's reproducibility allows rigorous evaluation of synergistic or additive effects when combining antithrombotic agents, optimizing treatment regimens and identifying more effective strategies.
Related Thrombosis Models
- Transient Blood Flow Occlusion induced Inferior Vena Cava Thrombosis Model
- Thrombin induced Inferior Vena Cava Thrombosis Model
- Arteriovenous Fistula Thrombosis Model
- Fe2O3 induced Arterial Thrombosis Model
- Foreign Matter induced Arterial Thrombosis Model
Our Advantages
- State-of-the-Art Facilities: Equipped with advanced imaging, surgical, and analytical capabilities for precise measurements.
- Experienced Scientific Team: Decades of expertise in thrombosis models ensure meticulous execution and insightful data interpretation.
- Customizable Study Designs: Flexible protocols optimized for your specific research questions, including FeCl3 concentration and induction time.
- Comprehensive Data Analysis: Detailed, publication-ready reports with statistical analysis and expert interpretation.
- Quality and Regulatory Compliance: Adherence to the highest standards of animal welfare and GLP-like practices.
- Unparalleled Scientific Rigor: Our deep understanding of model nuances ensures the highest quality and most reliable data.
Work with Us
- Summarize the project requirements and fill in the information collection form.
- Sign a CDA from both parties to further communicate information, such as targets.
- Select an animal model, discuss experimental design, and determine assay parameters.
- Project costing and project schedule forecasting.
- We provide a detailed project plan, including the required sample quantities, methods, and protocols.
- Both parties confirm the project details and start the project.
- Confirm the timeline of the project.
- We provide periodic results and information on the animal's condition.
- We will work together to make project adjustments as necessary.
- We provide a comprehensive project report promptly.
- We arrange transportation for the produced samples.
- We provide a discussion of the project results and help to arrange the next steps.
- Data storage and archiving.
Contact Us
Creative Biolabs is committed to advancing your thrombosis research. Leveraging our specialized expertise and comprehensive service offerings, we provide the precise and reliable data essential for your drug development journey. We invite you to connect with us to discuss how our capabilities can support your next breakthrough.
FAQs
-
Q1: Can the FeCl3 model be used to study both arterial and venous thrombosis?
A: Yes, the FeCl3 model is highly versatile in this regard. By applying ferric chloride to different vessels, researchers can simulate either arterial thrombosis (e.g., carotid artery, femoral artery) or venous thrombosis (e.g., jugular vein). This adaptability allows for the evaluation of therapies tailored to specific types of thrombotic disorders, reflecting the distinct hemodynamic forces and clot compositions found in arteries versus veins.
-
Q2: How do you ensure the reproducibility of the FeCl3 model in your studies?
A: Reproducibility is paramount at Creative Biolabs. We achieve this through stringent standardization of our protocols, including precise control over the FeCl3 concentration, consistent application time, and standardized surgical techniques. We also employ real-time monitoring methods, such as Doppler flowmetry, to objectively quantify thrombus formation kinetics. Our experienced technicians undergo rigorous training to ensure consistency across all experimental procedures.
-
Q3: How relevant are findings from the FeCl3 model to human atherothrombotic disease?
A: While the FeCl3 model provides valuable insights into fundamental mechanisms of thrombosis and is sensitive to clinical antithrombotics, it's important to note that the injury is chemically induced and typically applied to healthy vessels. Human atherothrombotic disease often involves thrombosis on a pre-existing atherosclerotic plaque. To bridge this gap, we recommend and offer more complex models that incorporate underlying atherosclerosis, or use the FeCl3 model in conjunction with other models to provide a more complete picture.
-
Q4: Can this model be customized for specific research questions or drug targets?
A: Absolutely. Our strength lies in our ability to customize study designs. We work closely with clients to tailor the FeCl3 concentration, application time, and monitoring duration to match the specific properties of their compounds and their unique research objectives. We can also integrate the model with genetic modifications in animals or specific dietary interventions to explore novel therapeutic targets or disease mechanisms.
-
Q5: Do you conduct combination therapy studies using the FeCl3 model?
A: Yes, the FeCl3 model is an excellent platform for evaluating combination therapies. Its reproducibility allows for the assessment of synergistic or additive effects when combining different antiplatelet or anticoagulant agents, or when combining an antithrombotic agent with other therapeutic strategies. This is crucial for optimizing treatment regimens and identifying novel therapeutic approaches.
Published Data
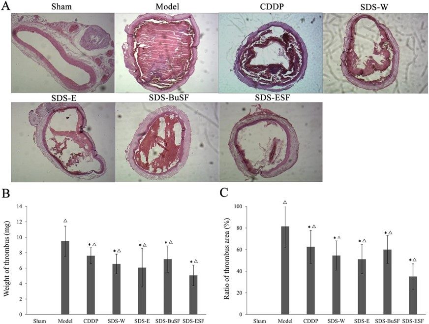
Fig.2 Effects of EtOAc SDS root extracts on rat carotid artery thrombosis.2,3
In this study, researchers investigated the antithrombotic effects of Salvia deserta Schang (SDS) EtOAc root extracts using both ADP-induced platelet aggregation in rabbits and the FeCl3-induced rat common carotid artery thrombosis model. The project results demonstrated that SDS root extracts significantly inhibited platelet aggregation and reduced FeCl3-induced thrombus weight and area ratio in a dose-dependent manner. Furthermore, the extracts modulated key plasma factors related to coagulation and fibrinolysis, suggesting both antiplatelet and anticoagulant activities.
References
- Song, Jung-Wook et al. "High-Dose Tranexamic Acid Enhances Circulating Neutrophil Extracellular Traps and Thrombus in Thrombosis Mouse Model." Biomedicines vol. 13,6 1284. 23 May. 2025. https://doi.org/10.3390/biomedicines13061284
- Kasimu, Rena et al. "Antithrombotic effects and related mechanisms of Salvia deserta Schang root EtOAc extracts." Scientific reports vol. 8,1 17753. 10 Dec. 2018. https://doi.org/10.1038/s41598-018-36026-7
- Distributed under Open Access license CC BY 4.0 , without modification.
For Research Use Only.
