Primate Diabetic Nephropathy (DN) Model
Creative Biolabs is a professional CRO company with many years of experience in preclinical drug development. We have assisted many researchers in their study projects using our non-human primate (NHP) disease models (please click here to find more information). With the most advanced experimental apparatus, a professional R&D team, and the most stringent Q&C system, we have advanced many preclinical non-GLP projects of our clients on our pharmacology and pharmacodynamics (PD/PK) platform and therefore, we have been recognized as a trustworthy CRO partner.
What is DN?
Diabetic nephropathy (DN), also called diabetic glomerulosclerosis, is one of the common microvascular complications of diabetes and one of the main causes of death. Glomerular sclerosis is the main cause of abnormal glucose metabolism in diabetes, and the urine protein content exceeds the normal level. Approximately, 30% - 40% of patients with type 1 diabetes develop kidney disease within 5 - 10 years, and 15% of patients with type 2 diabetes have kidney disease within 10 - 20 years.
Preclinical Tools for DN Research
At present, the pathogenesis of DN has not been completely elucidated. The establishment of a suitable animal model of DN is of great significance for an in-depth exploration of the pathogenesis of DN and the development of DN therapeutic drugs. A number of animal models of both type 1 diabetes and type 2 diabetes are widely available to researchers. According to the modelization method, these animal models can be divided into the following three categories: drug-induced animal model (e.g., alloxan or streptozotocin (STZ) or high-sugar and high-fat feed included diabetes model), spontaneous model (e.g., NOD mice, Akita mice, db/db mice, OLETF rats, Zuker fa/fa rats, KKAy mice, and SHR-Nep rats, etc.), and transgenic animal model (e.g., eNOS deficiency mice, NONcNZO10/LtJ mice, FVB-OVE26 mice, etc.).
Why We Need NHP model of DN?
One of the main obstacles to the development of novel DN therapies is the lack of reliable preclinical animal models. At present, researchers mostly use rodents to establish DN models to analyze the pathogenesis of the disease and evaluate the efficacy of treatment. However, it is known that rodents are far different from humans in terms of anatomy, physiology, genetics, etc. Accordingly, rodent DN models are considered to be unable to meet the current experimental needs. NHPs are the closest to humans in terms of anatomy, genetics, biochemistry, and physiology. Therefore, more and more researchers believe that NHPs have become the ideal preclinical tool to study the potential pathogenesis of human DN. Studies so far have proved that the diabetes model constructed by NHPs will develop into DN, and the development and clinical symptoms are similar to patients suffering from DN.
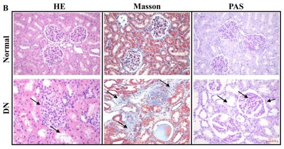
Fig.1 Histological staining of renal tissues in rhesus macaques of DN. (An, et al., 2019)1, 2
What Services Can We Provide?
To better assist preclinical research and drug development, Creative Biolabs provides the well-established and verified DN model in rhesus monkeys, and the related analysis services including blood analysis, renal function evaluation, renal histopathology, immunohistochemistry, color doppler ultrasound, angiography, mRNA expression levels analysis, immunofluorescence for eNOS, IL-1β, and MCP-1, etc. If you are interested in the NHP models of DN, please feel free to contact us for more information. We are willing to share our valuable model experience and provide you with scientific solutions to assist you in your study design. With years of preclinical CRO services, our professional R&D team of Creative Biolabs has accumulated much experience in preclinical drug development. We will work closely with you to achieve your study goal.
Creative Biolabs offers various Urogenital Disease Models you may be interested in:
References
- An, X.; et al. Intervention for early diabetic nephropathy by mesenchymal stem cells in a preclinical nonhuman primate model. Stem Cell Res Ther. 2019, 10(1): 363.
- under Open Access license CC BY 4.0, without modification.
For Research Use Only.
