Doxorubicin induced Cardiomyopathy Modeling & Pharmacodynamics Service
Creative Biolabs offers a diverse portfolio of well-established preclinical models, enabling comprehensive evaluation of novel compounds and interventions for various forms of HF.
Introduction
Heart failure (HF) represents a complex clinical syndrome characterized by the heart's inability to pump sufficient blood to meet the body's metabolic demands. This progressive condition, often resulting from various underlying cardiac insults, leads to significant morbidity and mortality worldwide. Understanding the intricate mechanisms contributing to HF and developing effective therapeutic strategies are paramount.
Doxorubicin-Induced Cardiomyopathy Model
Doxorubicin (DOX) is a highly effective chemotherapeutic agent, yet its clinical utility is significantly limited by the risk of DOX-induced cardiomyopathy (DIC), a severe and often irreversible form of HF. Creative Biolabs specializes in developing and utilizing robust DIC models to facilitate the discovery of cardioprotective therapies.
Fig.1 Dox-induced late cardiotoxic effects.1,3
Model Construction Steps
Our primary strategy for constructing the DIC model involves inducing cumulative cardiotoxicity in rodents, closely mimicking the chronic exposure observed in human chemotherapy regimens. This approach allows for the study of progressive cardiac dysfunction and remodeling.
01Animal Selection and Acclimation
Healthy rodents are selected based on study design and acclimated to the vivarium environment for a minimum of one week.
02Baseline Assessment
Comprehensive baseline cardiac function is assessed via echocardiography to ensure homogeneity across study groups.
03DOX Administration
Animals receive repeated low-to-moderate doses of DOX (e.g., 2.5-4 mg/kg/week for 4-6 weeks, or similar cumulative dose regimens) via intraperitoneal (IP) injection. Control groups receive saline.
04Monitoring and Intervention
Animals are regularly monitored for body weight, general health, and signs of toxicity. Test compounds or interventions (e.g., exercise regimens) are administered concurrently with or prior to DOX, depending on the study's objective (prevention vs. treatment).
05Endpoint Collection
Following the DOX administration period and any designated recovery phase, animals undergo terminal procedures for comprehensive cardiac evaluation.
Strengths and Limitations
Strengths:
- Clinical Relevance: Recapitulates key features of human DIC, including progressive systolic dysfunction, cardiac remodeling, and long-term cardiac impairment.
- Mechanistic Insights: Allows for the investigation of complex molecular pathways, including oxidative stress, mitochondrial dysfunction, inflammation (e.g., TLRs, NLRP3 inflammasome), and ferroptosis.
- Translational Potential: Provides a robust platform for screening and validating novel cardioprotective agents and non-pharmacological interventions.
- Reproducibility: Established protocols ensure consistent and reliable induction of cardiomyopathy.
Limitations:
- Species Differences: While highly relevant, rodent models do not perfectly replicate all aspects of human physiology and drug metabolism.
- Ethical Considerations: Requires careful management of animal welfare due to the toxic nature of DOX.
- Cost and Time: In vivo studies can be resource-intensive and require significant time for disease progression and data collection.
Evaluation Platform
Our state-of-the-art evaluation platform integrates biochemical, molecular, cellular, histopathological, behavioral, and advanced imaging techniques to provide a holistic assessment of cardiac health.
Test Indicators:
- Cardiac Function: Echocardiography (ejection fraction, fractional shortening, left ventricular dimensions, wall thickness), Hemodynamics (LV pressures, dP/dtmax/min), ECG (arrhythmia analysis).
- Biomarkers: Cardiac troponins, BNP/NT-proBNP, oxidative stress markers (e.g., MDA, GSH/GSSG), inflammatory cytokines (e.g., IL-1β, TNF-α).
- Histopathology: H&E staining (necrosis, inflammation), Masson's Trichrome/Picrosirius Red (fibrosis), TUNEL assay (apoptosis), immunohistochemistry (e.g., for NLRP3, TLRs).
- Molecular Analysis: RT-qPCR, Western Blot (gene and protein expression of cardiac stress, apoptosis, mitochondrial, and inflammatory pathways).
- Behavioral: Exercise tolerance (e.g., treadmill tests) in relevant models.
Applications
- Disease Simulation: Accurately simulates the progression of DOX-induced dilated cardiomyopathy and chronic HF.
- Drug Evaluation: Used for screening and optimizing novel cardioprotective agents, including antioxidants, anti-inflammatory compounds, mitochondrial protectants, and specific pathway inhibitors (e.g., TLR2 antagonists, NLRP3 inflammasome inhibitors).
- Combination Therapies: Evaluates strategies to combine cardioprotective drugs with DOX to maintain anti-tumor efficacy while mitigating cardiac side effects.
- Non-Pharmacological Interventions: Assesses the efficacy of lifestyle modifications, such as exercise regimens, in preventing or ameliorating DIC.
- Biomarker Discovery: Identifies and validates novel circulating and tissue-specific biomarkers for early detection, risk stratification, and monitoring of DIC.
- Toxicity Assessment: Evaluates the cardiotoxic potential of new anthracycline analogs or other novel cancer therapeutics.
Related Heart Failure Models
PA Constriction induced Right HF Model
Ascending Aortic Arch Constriction induced Post-Pressure Overload Heart Failure Model
Abdominal Aortic Stenosis induced Left HF Model
DOCA & Salt induced Left HF Model
AngII induced Chronic Heart Failure Model
ACF induced Anterior Pressure Overload Heart Failure Model
HFD induced Heart Failure Model
HFHC Diet induced Heart Failure Model
5/6 Nephrectomy induced Heart Failure Model
Pulmonary Hypertension induced Right Heart Failure Model
Renal Artery Constriction induced Hypertensive Heart Failure Model
Our Advantages
- Deep Expertise: Years of specialized experience in preclinical cardiac disease modeling.
- Tailored Solutions: Flexible and customizable study designs to meet your precise research goals.
- Comprehensive Capabilities: Integrated platform for functional, molecular, and histological assessments.
- High-Quality Data: Rigorous validation ensures reproducible and reliable results.
- Expert Consultation: Our scientific team provides unparalleled guidance from design to interpretation.
- Accelerated Timelines: Efficient processes to deliver critical data rapidly, moving your programs forward.
Work with Us
- Summarize the project requirements and fill in the information collection form.
- Sign a CDA from both parties to further communicate information, such as targets.
- Select an animal model, discuss experimental design, and determine assay parameters.
- Project costing and project schedule forecasting.
- We provide a detailed project plan, including the required sample quantities, methods, and protocols.
- Both parties confirm the project details and start the project.
- Confirm the timeline of the project.
- We provide periodic results and information on the animal's condition.
- We will work together to make project adjustments as necessary.
- We provide a comprehensive project report promptly.
- We arrange transportation for the produced samples.
- We provide a discussion of the project results and help to arrange the next steps.
- Data storage and archiving.
Contact Us
We are committed to empowering your research and accelerating the development of safer therapies. Creative Biolabs provides comprehensive preclinical services, offering advanced DIC models to address your specific research needs. Please reach out to our team to discuss how we can support your next breakthrough.
FAQs
-
Q1: What is the most common rodent species used for DIC models, and why?
A: Both rats and mice (e.g., C57BL/6) are common. Rats offer larger hearts for precise measurements. Mice are invaluable for genetic manipulation, exploring specific gene pathways. The choice depends on your research question.
-
Q2: Can you customize the DOX dosing regimen to match our specific research needs?
A: Absolutely. We provide highly flexible and customizable study designs. Our expert team collaborates closely to tailor DOX dosing regimens—whether single high-dose for acute toxicity or cumulative low-dose for chronic exposure—to precisely align with your experimental goals.
-
Q3: How do you ensure the reproducibility and reliability of your DIC models?
A: Reproducibility and reliability are paramount. We achieve this through stringent adherence to standardized operating procedures, meticulous animal husbandry, and rigorous quality control at every study stage. Our experienced team utilizes validated endpoints and state-of-the-art equipment to generate consistent, high-quality data.
-
Q4: Can your models help in identifying novel biomarkers for early detection of DIC?
A: Yes, our comprehensive evaluation platform is ideal for biomarker discovery. By collecting diverse samples for molecular, biochemical, and proteomic profiling, we identify novel circulating or tissue-specific biomarkers associated with early DIC stages. This aids diagnostic tool development.
-
Q5: Do you offer both in vivo and in vitro DIC models?
A: Yes, Creative Biolabs provides both in vivo rodent models and in vitro human iPSC-derived cardiomyocyte models. In vivo offers a holistic physiological context for systemic effects, while in vitro provides a human-relevant, high-throughput platform for early screening.
-
Q6: Can your models assess the impact of DOX on cardiac function in the context of co-morbidities?
A: Absolutely. Our DIC models can be adapted to investigate DOX cardiotoxicity in the presence of co-morbidities like diabetes or obesity. This provides clinically relevant insights into how DOX affects vulnerable patients and helps identify tailored cardioprotective strategies.
Published Data
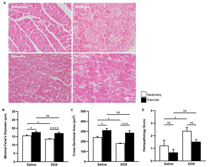
Fig.2 Effect of regular exercise on the cardiac morphology of DIC rat model.2,3
Fig.3 Effect of regular exercise on cardiac systolic function of DIC rat model.2,3
This research demonstrated that regular aerobic exercise significantly mitigated DOX-induced systolic dysfunction and cardiac atrophy in rats. The advanced molecular analyses revealed that exercise achieved this cardioprotection by partially suppressing the activation of the NLRP3 inflammasome, a key inflammatory pathway contributing to DOX cardiotoxicity. This case highlights the ability of this model to explore both pharmacological and non-pharmacological interventions while providing detailed mechanistic insights.
References
- Szponar, Jaroslaw et al. "Evolution of Theories on Doxorubicin-Induced Late Cardiotoxicity-Role of Topoisomerase." International journal of molecular sciences vol. 25,24 13567. 18 Dec. 2024. https://doi.org/10.3390/ijms252413567
- Suthivanich, Phichaya et al. "Aerobic Exercise Attenuates Doxorubicin-Induced Cardiomyopathy by Suppressing NLRP3 Inflammasome Activation in a Rat Model." International journal of molecular sciences vol. 25,17 9692. 7 Sep. 2024. https://doi.org/10.3390/ijms25179692
- Distributed under Open Access license CC BY 4.0, without modification.
For Research Use Only.
