Pharmacokinetics Studies
In Vitro
ADME
Physicochemical Characterization
Aqueous Solubility
Lipophilicity
Pharmaceutical Stability Testing
Permeability & Absorption
Dermal Absorption
PAMPA
Caco-2 Permeability
MDCK Permeability
Transporter Substrate Identification
Drug Distribution
Plasma Protein Binding
Blood Plasma Partitioning
Brain Tissue Binding
Microsomal Binding
In Vitro
Metabolism Studies
Metabolite Profiling & Identification
Metabolic Stability Assay
Extrahepatic Metabolism
Reactive Metabolite Analysis
Drug-Drug Interactions
Anti-Drug Antibody
ADA Development
Antibody Immunogenicity Assessment
ADA Screening
ADA Characterization
ADA Confirmatory
ADA Quantification
Web based Immunogenicity Screening
Neutralizing Activity Evaluation
PK/TK Analysis
ADA Labeling
ADA Assay Kit Development
Anti-Drug Antibody Development
In Vivo
PK Studies
Method Development & Validation
Pharmacokinetic Assays
PK Biomarker Assessment
Parallel/Crossover Study
Cassette Dosing Study
Investigative/Screening Study
Blood-Brain Barrier Study
Bioavailability & Bioequivalence Study
In Vivo
ADME
Mass Balance Study
Quantitative Tissue Distribution Study
Metabolite Identification & Profiling
Excretion Balance
Dose Response Assessment
PK/Bioanalysis
Pharmacokinetic Disease Model
Pharmacokinetic Model
Toxicokinetic Study
Interspecies Scaling
Pharmacodynamics Studies
Tumor Models & Pharmacodynamics
Tumor Seeding Type Models
Subcutaneous Tumor Model
Orthotopic Tumor Model
Angiogenesis Model
Syngeneic Models
Syngeneic Cell Line derived Tumor Model
Syngeneic Mice derived Tumor Model
Xenograft Models
CDTX Mouse Model
PDTX Mouse Model
Nude Rat Xenograft Model
Humanized Mouse based Tumor Models
Humanized PDX Mouse Model
Humanized CDX Mouse Model
Carcinogen induced Mouse Tumor Model
Spontaneous Tumor Animal Models
Tumor Organoid Model
Immuno-Oncology Efficacy Evaluation
XDC based Efficacy Evaluation
CAR-T & CAR-NK Cell based Efficacy Evaluation
Oncolytic Virus based Efficacy Evaluation
Cancer Vaccine based Efficacy Evaluation
CD19⁺ Humanized CDX Model based CAR-T Evaluation
CD19⁺ Humanized PDX Model based CAR-T Evaluation
Immune Checkpoint Inhibitor based Efficacy Evaluation
Prodrug based Efficacy Evaluation
Protein Degrader based Efficacy Evaluation
RNA Therapy based Efficacy Evaluation
iPSC based Efficacy Evaluation
Neurological Disorder Models & Pharmacodynamics
Alzheimer’s Disease Models
Scopolamine induced Rodent Amnesia Model
Aβ induced Rodent Alzheimer's Disease Model
STZ induced Alzheimer’s Disease Model
Primate AD Model
Parkinson’s Disease Models
MPTP Mouse Model
6-OHDA Unilateral Lesion Rat Model
Primate PD Model
Amyotrophic Lateral Sclerosis Model
Multiple Sclerosis Models
MOG35-55 induced EAE Mice Model
PLP induced EAE Mouse Model
MBP induced EAE Rat Model
Huntington’s Disease Model
Spinal Cord Injury Model
Stroke & Brain Ischemia Models
Endothelin-1 induced Stroke & Brain Ischemia Model
Rodent Photothrombotic Ischemia Model
Global Ischemic 4-VO Model
Traumatic Brain Injury Models
Rodent FPI Model
Rodent CCI Model
Rodent Weight Drop Model
Pain Models
Formalin induced Inflammatory Pain Model
Streptozotocin induced Rodent Diabetic Neuropathy Model
SNL Rat Model
PSL Model
CCI Model
Vincristine induced Neuropathy Model
Migraine Models
NTG induced Migraine Model
CSD Rodent Model
Autism Spectrum Disorder Model
Schizophrenia Models
Rodent Amphetamine Model
PCP Model
LPS induced Neuroinflammation Model
DMD Model
Rett Syndrome Model
SMA Model
Epilepsy Models
Rodent Pilocarpine Model
Rodent Lithium-Pilocarpine Model
Rodent Kindling Model
Primate Epilepsy Model
Depression Models
Tail Suspension Test
Anxiety Models
Elevated Plus Maze Test
Light/Dark Box Test
Drug Abuse Liability Models
Conditioned Place Preference
Drug Discrimination
Intravenous Self-Administration
Drug Dependence Liability/Withdrawal Test
Behavioral Tests for Motor Function
Rotarod Test
Open Field Test
Grip Strength Test
Beam Walking Test
Other Motor Function Test
Behavioral Tests for Cognition
Morris Water Task
Radial Arm Maze
Y Maze Test
Novel Object Recognition Task
Fear Conditioning Test
Passive Avoidance Test
Social Behavior Tests
Three Chamber Social Test
Sleep Disorder Models
Intermittent Hypoxia induced Rodent Model of Sleep Apnea
Rodent Sleep Deprivation Model
Rodent Model of Narcolepsy
Rodent Model of RLS
Primate Neurological Disease Models
SCI Model
Cerebral Infarction Model
Cerebral Stroke Model
Primate PNI Model
Primate VaD Model
Primate Depression & Anxiety Model
Inflammation & Immunological Disease Models & Pharmacodynamics
Systemic Inflammation Models
Carrageenan Air Pouch Model
Carrageenan induced Paw Edema Model
Mouse Auricle Swelling Inflammatory Model
Acetic Acid induced Mouse Vascular Permeability Model
Testosterone induced Benign Prostatic Hyperplasia Model
Rheumatoid Arthritis Models
Adjuvant induced Arthritis Model
Collagen induced Arthritis Model
Collagen Antibody induced Arthritis Model
Systemic Lupus Erythematosus Models
Spontaneous SLE Model
Induced SLE Model
Psoriasis Models
IMQ induced Psoriasis Model
Peritonitis Models
Atopic Dermatitis & Eczema Models
Sepsis Models
CLP induced Sepsis Model
LPS induced Sepsis Model
2-HIT Sepsis Model
Experimental Sjögren's Syndrome Models
Gouty Arthritis Models
Graft Versus Host Disease Models
Delayed Type Hypersensitivity Models
Chemical induced Contact Hypersensitivity Model
Passive Cutaneous Anaphylaxis Models
Experimental Autoimmune Neuritis Models
Experimental Autoimmune Myasthenia Gravis Models
Immune Disease Models
Metabolic/Liver Disease Models & Pharmacodynamics
Obesity Models
HFD induced Obesity Model
HFHC Diet induced Obesity Model
Cafeteria Diet induced Obesity Model
MSG induced Obesity Model
ob/ob Obseity Mouse Model
Diabetes Models
Non-Obese T1D Mouse Model
STZ induced T1D Model
Alloxan induced T1D Model
db/db T2D Mouse Model
IUGR Diabetic Model
STZ-NA induced T2D Rat Model
ZDF T2D Rat Model
HFD & STZ induced T2D Model
Combined Resection & Glucocorticoid induced T2D Model
Diabetes Complication Models
STZ induced Type I Diabetic Skin Defect/Burn Model
STZ induced Type I Diabetic Foot Ulcer Model
STZ induced Type I Diabetic Peripheral Vascular Disease Model
STZ induced Type I Diabetic Cataract Model
HFD & STZ induced Type II Diabetic Nephropathy Model
db/db Type II Diabetic Nephropathy Model
Hyperlipidemia Models
HFD induced Hyperlipidemia Model
HFHC Diet induced Hyperlipidemia Model
NASH Models
DIO NASH Model
HFD induced NASH Model
MCD Diet induced NASH Model
CDAA Diet induced NASH Model
HFHC Diet induced NASH Model
High-Fat & High-Cholesterol Diet induced NASH Model
High-Fat & High-Cholesterol Diet & Fructose induced NASH Model
High-Fat & High-Fructose induced NASH Model
DEN & High-Fat & High-Cholesterol Diet induced NASH Model
High-Fat & CCL₄ induced NASH Model
STZ & High-Fat induced NASH Model
MC4R KO Mouse Model
LDLR KO Mouse Model
Acute Liver Injury Models
CCL₄ induced Acute Liver Injury Model
Con A induced Acute Liver Injury Model
Poly I:C induced Acute Liver Injury Model
APAP induced Acute Liver Injury Model
Alcohol induced Acute Liver Injury Model
Ischemia-Reperfusion induced Liver Injury Model
ANIT induced Acute Liver Injury Model
DDC induced Acute Liver Injury Model
Liver Fibrosis/Cirrhosis Models
CCL₄ induced Liver Fibrosis/Cirrhosis Model
TAA induced Liver Fibrosis/Cirrhosis Model
BDL induced Primary Biliary Cirrhosis Model
ANIT induced Primary Biliary Cirrhosis Model
DDC induced Primary Biliary Cirrhosis Model
Pancreatic Fibrosis Model
Gout Models
MSU induced Gout Model
Sarcopenia Models
Dexamethasone induced Sarcopenia Model
T1D induced Sarcopenia Model
HFD induced Sarcopenia Model
Hepatitis B Models
AAV/HBV induced Chronic HBV Infection Model
HBV Transgenic Mouse Model
Hydrodynamic Injection HBV Model
Hepatitis B Humanized Mouse Model
HBV Infection & Liver Fibrosis Combination Models
HBV Transgentic & CCL₄ induced Liver Model
Metabolic Disorder Models
Type I Diabetes Model
Type II Diabetes Model
DIO Model
Primate Spontaneous Obesity Model
Primate Dyslipidemia Model
Liver Disease Models
NAFLD Model
NASH Model
Primate Liver Fibrosis/Cirrhosis Model
Primate ALI Model
Urological System Disease Models & Pharmacodynamics
Autoimmune Nephropathy Models
Thy-1 Nephritis Model
Anti-GBM Nephritis Model
IgA Nephropathy Model
Acute Kidney Injury Models
Gentamicin induced Acute Renal Failure Model
Cisplatin induced Acute Renal Failure Model
Glycerol induced Acute Renal Failure Model
Contrast Agent induced Acute Kidney Injury Model
Folic Acid induced Acute Kidney Injury Model
LPS induced Acute Kidney Injury Model
CLP induced Acute Kidney Injury Model
LPA induced Acute Kidney Injury Model
GHRH induced Acute Kidney Injury Model
Anti-TSHR Antibody induced Acute Kidney Injury Model
Aristolochic Acid A induced Acute Kidney Injury Model
Renal IR Model
Chronic Kidney Disease Models
UUO Model
Bilateral Ureteral Obstruction induced Renal Fibrosis Model
5/6 Nephrectomy Model
AN Model
FA induced Renal Fibrosis Model
Adenine induced Chronic Renal Failure Model
Metabolic Nephropathy Models
Obesity related Glomerulopathy Model
Diabetic Nephropathy Model
Hyperuricemia Models
Diet induced Hyperuricemia Model
Kidney Transplantation Models
Rat Warm Kidney Graft Transplant Model
Cystitis Models
CYP induced Cystitis Model
LPS induced Cystitis Model
Urogenital Disease Model
CRF Model
ARF Model
RH Model
Primate DN Model
BPH Model
OAB Model
Digestive System Disease Models & Pharmacodynamics
Gastric Ulcer Models
Ethanol induced Gastric Ulcer Model
Acetic Acid induced Gastric Ulcer Model
Indomethacin induced Refractory Gastric Ulcer Model
Gastritis Models
Chronic Atrophic Gastritis Model
Colitis Models
TNBS/DNBS induced Colitis Model
DSS induced Colitis Model
Indomethacin induced Small Intestinal Inflammatory Model
OXA induced Colitis Model
Acetic Acid induced IBD Model
Anti-CD40 Ab induced IBD Model
IL-10
-/-
Spontaneous IBD Model
CD4⁺CD45RB
hi
T Cell induced IBD Model
Acute Pancreatitis Models
Sodium Taurocholate induced Acute Pancreatitis Model
Cerulein induced Acute Pancreatitis Model
Chronic Pancreatitis Models
Cerulein induced Chronic Pancreatitis Model
Diarrhea Models
5-FU induced Diarrhea Model
Antibiotic induced Diarrhea Model
Emesis Models
Cardiovascular Disease Models & Pharmacodynamics
Myocardial Infarction Models
Ischemia-Reperfusion Myocardial Infarction Model
Permanent Ischemic Myocardial Infarction Model
Isoproterenol induced Myocardial Infarction Model
Acute Myocardial Infarction Model
Myocardial Ischemia Model
Heart Failure Models
AMI induced Left HF Model
PA Constriction induced Right HF Model
Ascending Aortic Arch Constriction induced Post-Pressure Overload Heart Failure Model
Abdominal Aortic Stenosis induced Left HF Model
DOCA & Salt induced Left HF Model
Salt induced Left HF Model
Adriamycin induced Left HF Model
Isoproterenol induced Chronic Heart Failure Model
AngII induced Chronic Heart Failure Model
ACF induced Anterior Pressure Overload Heart Failure Model
HFD induced Heart Failure Model
HFHC Diet induced Heart Failure Model
5/6 Nephrectomy induced Heart Failure Model
Pulmonary Hypertension induced Right Heart Failure Model
Renal Artery Constriction induced Hypertensive Heart Failure Model
Doxorubicin induced Cardiomyopathy Model
Primate HF Model
Atherosclerosis Models
ApoE
-/-
Mice Model
LDLR
-/-
Mice Model
E3L Mice Model
Fatty Zucker Rat Model
Carotid Artery Endothelial Denudation Model
HFD & CHOL induced Aorta Atherosclerosis Model
Blood Flow induced Arterial Intimal Thickening Model
Primate AS Model
Hypertension Models
SHR Model
Salt induced Hypertentison Model
5/6 Nephrectomy induced Hypertension Model
Renal Artery Stenosis induced Hypertension Model
Abdominal Aorta Constriction induced Hypertension Model
DOCA-Salt induced Hypertension Model
L-NAME induced Hypertension Model
Monocrotaline induced Pulmonary Hypertension Model
Hypoxia induced Pulmonary Hypertension Model
Angiotensin-2 Infusion induced Hypertension Model
hRN/hANG Transgentic Mouse Hypertension Model
Primate Hypertension Model
Thrombosis Models
Transient Blood Flow Occlusion induced Inferior Vena Cava Thrombosis Model
Thrombin induced Inferior Vena Cava Thrombosis Model
Arteriovenous Fistula Thrombosis Model
Fe₂O₃ induced Arterial Thrombosis Model
Foreign Matter induced Arterial Thrombosis Model
Ferric Chloride induced Thrombosis Model
Primate Thrombosis Model
Peripheral Vascular Disease Models
Femoral Artery Ligation induced Lower Limb Peripheral Vascular Disease Model
Sodium Laurate induced Vasculitis Model
Sodium Laurate induced Lower Limb Gangrene Model
Stroke Models
tMCAO Model
pMCAO Model
Photochemically induced Ischemic Stroke Model
Collagenase induced Hemorrhagic Stroke Model
Sodium Laurate induced Cerebral Microvascular Injury Model
NHP MCAO Model
Atrial Fibrillation Models
Pacemaker induced Atrial Fibrillation Model
Acetylcholine induced Atrial Fibrillation Model
Ventricular Tachycardia Models
Barium Chloride induced Ventricular Tachycardia Model
Epinephrine induced Ventricular Tachycardia Model
Disseminated Intravascular Coagulation Models
LPS induced DIC Model
Pericarditis Models
ZIA induced Pericarditis Model
Myocarditis Models
Adriamycin induced Myocarditis Model
Myosin induced Immune Myocarditis Model
Coxsackievirus induced Myocarditis Model
Diabetic Complication Model
Primate Cardiovascular Disease Model
Primate Arrhythmia Model
Primate Myocardial Fibrosis Model
Primate PAD Model
Primate Carotid Arterial Stenosis Model
Ocular Disease Models & Pharmacodynamics
Dry Eye Models
Corneal Disease Models
Corneal Neovascularization Model
Corneal Wound Healing Model
Cataract Models
Glaucoma Models
Dry AMD Models
Blue/White Light induced Retinal Degeneration Model
Wet AMD Models
Laser induced CNV Model
Fundus Disease Models
Diabetic Retinopathy Models
Diabetic Macular Edema Model
Retinal Fibrosis Models
Retinal Vein Occlusion Models
Ocular Inflammation Models
LPS induced Uveitis Model
Allergic Conjunctivitis Model
Infectious Keratitis Model
Musculoskeletal Disease Models & Pharmacodynamics
MIA induced OA Model
Surgically induced OA Model
Fracture Model
Bone Defect Model
Orchiectomy induced Osteoporosis Model
OVX induced Osteoporosis in Rats
Respiratory Disease Models & Pharmacodynamics
Allergic Asthma Models
Ovalbumin induced Asthma Model
HDM induced Allergic Asthma Model
Non-Allergic Asthma Models
Chemically induced Pulmonary Fibrosis Models
Bleomycin induced Pulmonary Fibrosis Model
Genetic & Transgenic Pulmonary Fibrosis Models
Immunologically driven Pulmonary Fibrosis Models
Lung Injury/Pneumonia Models
LPS induced Pulmonary Neutrophilia Model
COPD Models
Cigarette Smoke induced COPD Model
Pulmonary Emphysema Models
Pulmonary Edema Models
Airway Models
Cough Models
Pulmonary Hypertension Model
Allergic Rhinitis Models
Non-Allergic Rhinitis Models
Pulmonary Nodular Disease Models
Infectious Disease Animal Models & Pharmacodynamics
Respiratory System Infection Models
Sensory System Infection Models
Nervous System Infection Models
Skin & Soft Tissue System Infection Models
Urinary & Genital System Infection Models
Blood Circulatory System Infection Models
Antimicrobial Resistance Models
Zoonotic Disease Infection Models
Gastrointestinal System Infection Models
Sexually Transmitted Infection Models
In Vitro
Pharmacodynamic
In Vitro
Organoid Models
3D Cell Model
Organoid
Parallel Artificial Membrane Permeability Assay
3D Bio-printed Tissue Model
Organ-On-A-Chip
Anticancer Drug Pharmacodynamic
Cardiovascular Drug Pharmacodynamic
Neurological Drug Pharmacodynamic
Metabolic Disease Drug Pharmacodynamic
Anti-Inflammatory Drug Pharmacodynamic
Respiratory Disease Drug Pharmacodynamic
Gene Editing
Model Creation Technologies
CRISPR/Cas9 Genome Editing Mouse Model
TALEN mediated Genome Editing Mouse Model
ESC/HR based Gene Targeting Mouse Model
DNA Microinjection
Plasmid Vector
BAC Injection
Transposon mediated Genome Manipulation
Wild-type
Sleeping Beauty
Transposon System
Tol2
Transposon System
Sleeping Beauty
Transposon System
Lentivirus mediated Transfection Model
Knockout Models
Conventional Knockout Model
Conditional Knockout Models
Tissue Specific Gene Knockout
Inducible Gene Knockout
KO First Model
Knockin Models
Point Mutation Model
Tissue Specific Point Mutation Model
Inducible Point Mutation Model
Reporter/Tag Knockin Model
ROSA26 Knockin Model
Knockdown Model
Humanized Mouse Models
Humanized PBL SCID Mouse Model
Humanized SRC SCID Mouse Model
Humanized Immune Checkpoint Mouse Models
hPD-1/hCD47 Dual Humanized Mouse Model
hPD-1/hGITR Dual Humanized Mouse Model
hPD-L1/hSIRPα/hCD47 Triple Humanized Mouse Model
hPD-1/hPD-L1/hIDO1 Triple Humanized Mouse Model
hPD-1/hPD-L1/hOX40 Triple Humanized Mouse Model
hPD-1/hPD-L1/hPD-L2 Triple Humanized Mouse Model
hPD-1/hPD-L1/hCTLA-4 Triple Humanized Mouse Model
hPD-1/hTIGIT/hTIM3 Triple Humanized Mouse Model
hPD-1/hPD-L1/hTIGIT Triple Humanized Mouse Model
hPD-1/hPD-L1/hLAG3 Triple Humanized Mouse Model
hPD-1/hPD-L1/h4-1BB Triple Humanized Mouse Model
hSIRPα/hCD47/hPD-1 Triple Humanized Mouse Model
hCD3EDG Triple Humanized Mouse Model
hPD-1/hPD-L1/hSIRPα/hCD47 Quadruple Humanized Mouse Model
Toxicology Studies
In Vitro
Toxicity Tests
Cell Proliferation & Viability
Ophthalmic Toxicity
Cardiotoxicity
hERG Screening
Hepatotoxicity
In Vitro
Safety Pharmacology Studies
Safety Pharmacology Core Battery
Central Nervous System
Cardiovascular System
Respiratory System
Supplemental Safety Pharmacology Studies
Renal/Urinary System
Autonomic Nervous System
Gastrointestinal System
Special Toxicity Studies
In Vitro
Genotoxicity Study
In Vitro
Carcinogenicity Study
In Vitro
Reproductive Toxicity Study
In Vitro
Drug Dependence Study
Toxicity & Safety Evaluation
General Toxicity Studies
Single Dose Study
Repeat Dose Toxicity
Acute Toxicity
Subacute Toxicity Study
Subchronic Toxicity Study
Chronic Toxicity Study
Local Toxicity Studies
Eye Irritation/Corrosion Test
Vaginal Mucosal Irritation Test
Skin Irritation Test
Skin Sensitization Test
Developmental & Reproductive Toxicology
Immunotoxicity
Carcinogenicity
Genotoxicity
Neurotoxicity
Skin Toxicology
Cardiovascular Toxicity
Respiratory Toxicity
Gastrointestinal Toxicity
Liver Toxicity
Kidney Toxicity
Phototoxicity
Ocular Toxicity
Musculoskeletal Toxicity
Drug Abuse Liability
Ecotoxicity
Inhalation Toxicity
Infusion Toxicology
Juvenile Toxicity
Safety Pharmacology
Resources
Research Shelf
Platforms
Target Identification & Validation
Hit Identification
Hit to Lead
Lead Optimization
IND-Enabling
Company
About Us
Contact Us
Brochures
Careers
Events
Home
Resources
Research Shelf
Research Shelf
What Are Transgenic Mice? Definition, Types, and Key Concepts
Transgenic Mice in Cancer Research: From Tumor Models to Therapy Development
How Are Transgenic Mice Created? Methods and Technologies
Applications of Transgenic Mice in Disease Research and Drug Development
Transgenic Mice vs Knockout Mice: Understanding the Differences and Research Benefits
Humanized Transgenic Mice: Bridging Animal Models and Human Disease Studies
Inducible and Conditional Transgenic Mice Tools for Controlled Gene Expression
Popular Transgenic Mouse Models in Neuroscience and Immunology
Advances in Genetic Engineering: CRISPR and BAC Technologies in Transgenic Mice
Transgenic Reporter Mice: Tools for Visualizing Gene Expression
CD1 mice: "All-rounder" in Drug Development and Toxicity Evaluation
Basic Characteristics and Common Applications of CD1 Mice
Comprehensive Guide to
In Vitro
ADME Studies in Drug Discovery
In Vitro
ADME Screening: Accelerating Drug Development
In Vitro
ADME Assays: Principles, Applications, and Protocols
Differences and Connections Between ADME and DMPK in Drug Research
In Vitro
ADME Profiling Services: Accelerating Drug Development Through Predictive Insights
In Vitro
ADME and
In Vivo
PK Studies: A Holistic Framework for Drug Evaluation
ADME in Toxicology: Ensuring Drug Safety and Efficacy
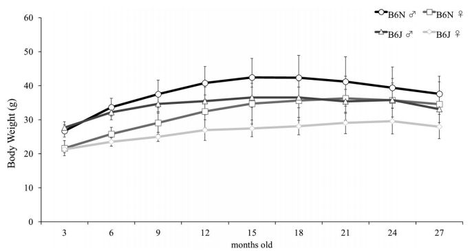
A Comprehensive Analysis of the Physiological Characteristics of C57BL/6 Mice
The Past of C57BL/6 Mice
The Dynamic Duo of Scientific Research: C57BL/6 vs BALB/c
Advances and Applications of Diabetic Animal Models
Streptozotocin-Induced Diabetes: Protocols and Experimental Insights
Type 1 Diabetes in NOD Mice: Model Characteristics and Research Applications
Reviews of Diet-Induced Type 2 Diabetes in C57BL/6J Mice
Alloxan-Induced Diabetes Models: Protocols, Mechanisms, and Applications
Laboratory Star Mouse C57BL/6
NZB/NZW F1 Mice: The Best Choice for SLE Research
Gene Editing Technology Reshapes NZB/NZW F1 Mice
What Are Humanized Mice? A Comprehensive Overview of Their Definition and Applications
Humanized Mice in Immuno-Oncology Research: Progress and Challenges
The Role of Humanized Mice in Studying Human Immunity and Disease
Humanized Mice Models: From COVID-19 to Cancer – Key Applications
Humanized Mice for Antibody Production and Disease Modeling
Humanized Mice in Vaccine Research: From Concept to Clinical Trials
Humanized Mice in Breast Cancer Research: Modeling Tumor Progression and Treatment
The Core Applications of Humanized Mice in Prostate Cancer Research
Humanized Mice: A Revolutionary Tool for Neurological Disease Research
How to Create Humanized Mice: A Step-by-Step Guide for Researchers
What is DMPK?
DMPK in Clinical Drug Development
DMPK vs PKPD: Collaborative Mechanisms in Drug Development
DMPK and Antibody Drugs
DMPK Bioanalysis
What Should the DMPK Look Like in the Future?
Loading case studies...
For Research Use Only.
Related Services:
Research Area
Online Inquiry
Name:
Phone:
*
E-mail Address:
*
Service & Products Interested:
Project Description:
Submit
×
Product
Service