- Summarize the project requirements and fill in the information collection form.
- Sign a CDA from both parties to further communicate information, such as targets.
- Select an animal model, discuss experimental design, and determine assay parameters.
- Project costing and project schedule forecasting.
Atherosclerosis Modeling & Pharmacodynamics Services
Creative Biolabs advances cardiovascular research using cutting-edge preclinical models. Our atherosclerosis modeling expertise provides a robust foundation for evaluating novel therapeutics and understanding disease mechanisms. To accelerate the discovery of more effective interventions, we offer a diverse portfolio of well-established and meticulously characterized atherosclerosis models, enabling precise evaluation of therapeutic efficacy and safety.
Introduction
Atherosclerosis is a progressive, chronic inflammatory disease characterized by the accumulation of cholesterol-enriched lipoproteins, immune cells, and fibrous material within the arterial walls, leading to the formation of atherosclerotic plaques. This insidious process is the primary underlying cause of various cardiovascular diseases, including coronary artery disease, stroke, and peripheral artery disease, which collectively represent a leading cause of morbidity and mortality worldwide. Current treatment strategies primarily focus on managing risk factors, reducing lipid levels, and preventing thrombotic events.
Available Atherosclerosis Models at Creative Biolabs
The development of robust and translatable atherosclerosis models is paramount for dissecting the complex pathophysiology of this disease and identifying promising therapeutic targets. These models allow researchers to mimic key aspects of human atherosclerosis, from initial lesion formation to advanced plaque progression and complications. Model construction strategies often involve a combination of genetic modifications, dietary interventions, and mechanical or flow-based manipulations, carefully chosen to reflect specific disease stages or mechanisms.
Fig.1 Molecular imaging of atherosclerotic plaques in animal models.1,3
Creative Biolabs provides the following advanced atherosclerosis models, meticulously designed to test the efficacy of therapeutic drugs against various facets of the disease:
| Atherosclerosis Models | Modeling and applications | Animal species |
|---|---|---|
| Apolipoprotein E Deficient (ApoE-/-) Mice Model | Lacking ApoE, these mice develop severe hypercholesterolemia and extensive atherosclerotic lesions on an atherogenic diet. Ideal for studying plaque initiation, progression, and lipid-lowering/anti-inflammatory therapies. | Mouse |
| Low-Density Lipoprotein Receptor-Deficient (LDLR-/-) Mice Model | Deficient in the LDL receptor, these mice show elevated LDL-C and diet-induced atherosclerosis, valuable for evaluating LDL metabolism-targeting drugs. | Mouse |
| ApoE*3 Transgenic (E3L) Mice Model | This humanized model expresses human ApoE*3, mimicking human lipoprotein metabolism. Cross-bred with other strains, such as CETP transgenic mice, it offers enhanced translational relevance for lipid-modulating therapies. | Mouse |
| Fatty Zucker Rat Model | Characterized by obesity, insulin resistance, and hypertension, these rats are excellent for investigating metabolic syndrome's interplay with atherosclerosis and evaluating related interventions. | Rat |
| Carotid Artery Endothelial Denudation Model | Inducing mechanical endothelial injury, this model leads to endothelial dysfunction, smooth muscle cell proliferation, and neointimal hyperplasia. Useful for studying vascular remodeling and early intimal thickening. | Mouse |
| High-Fat-Diet (HFD) & CHOL induced Aorta Atherosclerosis Model | Rodents on a high-fat, high-cholesterol diet develop hyperlipidemia and accelerated aortic atherosclerosis. This model evaluates dietary interventions and systemic agents on plaque burden. | Rabbit, NHPs |
| Blood Flow induced Arterial Intimal Thickening Model | This model explores how disturbed blood flow and shear stress promote intimal thickening. Surgical alteration induces localized endothelial dysfunction and smooth muscle cell proliferation, offering insights into hemodynamics-driven atherogenesis. | Mouse |
Evaluation Platform
At Creative Biolabs, we perform rigorous endpoint analysis of drug efficacy using a comprehensive suite of technologies. Our platform includes:
- Advanced Analytical Assays: Biochemical assays, molecular analyses (e.g., gene expression, protein quantification), and cellular phenotyping.
- Detailed Histopathology: Lesion area quantification and plaque composition scoring based on AHA guidelines.
- State-of-the-Art Imaging: Micro-CT, MRI, and PET for in vivo visualization of plaque burden and characteristics.
Key Test Indicators:
- Lipid Profiles: Total cholesterol, HDL, LDL, triglycerides, free fatty acids.
- Inflammatory Markers: Cytokines, chemokines.
- Other Markers: Oxidative stress markers, endothelial function.
- Plaque Parameters: Morphology and stability.
Applications
Disease Simulation
Simulating diverse cardiovascular diseases, encompassing coronary artery disease, peripheral artery disease, and cerebrovascular conditions, especially those driven by underlying dyslipidemia and chronic inflammation. Our models faithfully recapitulate key pathological features.
Drug Evaluation
Evaluating a comprehensive spectrum of therapeutic drugs, including established lipid-lowering agents (e.g., statins, PCSK9 inhibitors), novel anti-inflammatory compounds, effective anti-thrombotic agents, and innovative biologics specifically designed to target and modulate disease pathways.
Therapeutic Strategy Investigation
Investigating various therapeutic strategies, ranging from traditional pharmacological interventions and advanced gene therapies to cutting-edge cell-based approaches and impactful lifestyle modifications. These studies aim to prevent, halt, or even induce regression of atherosclerotic progression.
Related Cardiovascular Models
Our Advantages
- Extensive Animal Species Portfolio: Offering a broad selection of animal models (mice, rats, rabbits, NHPs) for optimal translational relevance.
- Integrated In Vivo and In Vitro Evaluation: Providing a seamless, one-stop solution for comprehensive drug efficacy assessment from cellular mechanisms to systemic effects.
- Expert Professional Team and Robust Management System: Our highly experienced scientists and stringent quality control ensure reliable data and efficient project execution.
Work with Us
Inquiry Stage
Project Start
- We provide a detailed project plan, including the required sample quantities, methods and protocols.
- Both parties confirm the project details and start the project.
- Confirm the timeline of the project.
Project Progress
- We provide periodic results and information on the animal's condition.
- We will work together to make project adjustments as necessary.
Project Completion
- We provide a comprehensive project report promptly.
- We arrange transportation for the produced samples.
- We provide a discussion of the project results and help to arrange the next steps.
After-Sales Support
- Data storage and archiving.
Contact Us
Leverage Creative Biolabs' unparalleled expertise in atherosclerosis modeling to accelerate your cardiovascular drug discovery. Our dedicated team is ready to collaborate with you to design and execute studies that deliver actionable insights. Contact us today to discuss your research needs.
FAQs
-
Q1: What are the primary advantages of using genetically modified mouse models like ApoE-/- and LDLR-/- for atherosclerosis research?
A: Genetically modified mouse models offer distinct benefits: highly reproducible disease progression and precise control over genetic factors. Developed in the early 1990s, these models spontaneously develop severe hypercholesterolemia and atherosclerotic lesions, serving as gold standards for studying plaque formation and evaluating therapies targeting lipid metabolism and inflammation.
-
Q2: Can your models be used to study the link between metabolic syndrome and atherosclerosis?
A: Absolutely. Our portfolio includes models like the Fatty Zucker Rat, inherently exhibiting obesity, insulin resistance, and hypertension—key metabolic syndrome components. This enables comprehensive investigations into how these dysregulations contribute to atherosclerosis initiation and progression, and how novel therapies can address these interconnected pathologies.
-
Q3: What types of dietary interventions are typically employed in your atherosclerosis models, and why are they important?
A: Dietary interventions, like HFD+CHOL, are crucial for accelerating atherosclerosis progression in many models, especially in predisposed animals. These diets induce hyperlipidemia, a major human atherosclerosis risk factor, enabling study of diet-induced disease and evaluation of lipid-lowering or dietary modification strategies.
-
Q4: How do you ensure the reproducibility and reliability of its atherosclerosis model data?
A: We prioritize rigorous validation for every model, ensuring reproducibility and reliability. This includes strict adherence to standardized protocols, meticulous animal husbandry, precise dietary control, and consistent application of advanced analytical techniques. Our experienced team and robust quality control systems ensure scientifically sound data.
-
Q5: What imaging techniques are available at Creative Biolabs for non-invasive assessment of atherosclerotic plaques?
A: Creative Biolabs employs state-of-the-art non-invasive imaging. This includes micro-CT for anatomical visualization and calcification, MRI for soft tissue and plaque burden, and PET for molecular imaging of inflammation and metabolic activity within plaques. These techniques provide invaluable longitudinal data without animal sacrifice.
-
Q6: Can you customize atherosclerosis study designs to meet specific client research objectives?
A: Yes, absolutely. We pride ourselves on a collaborative approach. Our scientific team works closely with clients to design bespoke studies, from initial proof-of-concept to comprehensive efficacy and safety evaluations. This ensures the chosen model, study duration, and endpoints align perfectly with your unique research questions and developmental goals.
-
Q7: What is the typical turnaround time for an atherosclerosis efficacy study at Creative Biolabs?
A: Turnaround time for an atherosclerosis efficacy study varies significantly by model, disease progression duration, and endpoint complexity. However, our streamlined processes, efficient project management, and dedicated team ensure robust data delivery, accelerating your drug discovery while maintaining high scientific standards. Specific timelines are discussed during customized study design.
Published Data
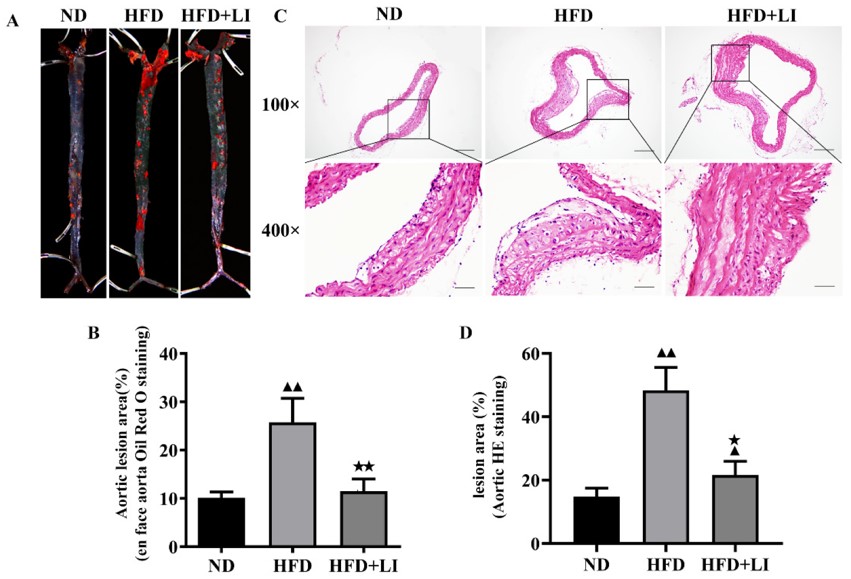
Fig.2 Atherosclerotic lesions in ApoE KO mice according to each diet group.2,3
In this study, researchers investigated the impact of dietary iron restriction on atherosclerosis in ApoE knockout mice. Compared to a high-fat diet, a low-iron diet significantly reduced aortic lesion area by over 10% and mitigated plaque coverage. The study further revealed that dietary low iron alleviated atherosclerosis by down-regulating proteins involved in aortic inflammation, vascular remodeling, and focal adhesion. This illustrates how specific dietary interventions can influence disease progression and highlights the utility of ApoE KO mice for mechanistic studies.
References
- Gargiulo, Sara et al. "Molecular Imaging of Vulnerable Atherosclerotic Plaques in Animal Models." International journal of molecular sciences vol. 17,9 1511. 9 Sep. 2016, DOI:10.3390/ijms17091511.
- Luo, Gang et al. "Iron Restriction Alleviates Atherosclerosis in ApoE KO Mice: An iTRAQ Proteomic Analysis." International journal of molecular sciences vol. 23,24 15915. 14 Dec. 2022, DOI:10.3390/ijms232415915.
- Distributed under Open Access license CC BY 4.0, without modification.
For Research Use Only.
