Emesis Modeling & Pharmacodynamics Services
Introduction
Emesis, commonly known as vomiting, is a protective reflex initiated by the brain in response to various stimuli such as toxins, infections, medications, or gastrointestinal disorders. It involves a complex interaction between the chemoreceptor trigger zone (CTZ) and the vomiting center in the brain, which coordinates the physical act of vomiting. Emesis can be triggered by conditions like gastroenteritis, motion sickness, and migraines, or as a side effect of chemotherapy and radiotherapy. It serves as a defense mechanism to expel harmful substances from the body, but persistent vomiting can lead to complications like dehydration, electrolyte imbalances, and malnutrition. Additionally, emesis is commonly seen in patients undergoing chemotherapy (chemotherapy-induced nausea and vomiting, CINV), post-surgery (post-operative nausea and vomiting, PONV), or in those suffering from vestibular disorders. Creative Biolabs offers a diverse range of well-established rodent models for evaluating the efficacy of antiemetic drugs. Our models cover a variety of emesis types, including chemotherapy-induced, motion sickness, and post-operative nausea and vomiting, providing reliable preclinical data to support the development of new therapeutics.
Disease Models and Applications
Creative Biolabs offers a diverse selection of well-established rodent models for emesis research, including models for chemotherapy-induced nausea and vomiting (CINV), motion sickness, and drug-induced emesis. These models are carefully designed to replicate human emetic responses and are supported by extensive assessments of various physiological and behavioral parameters. This enables the precise evaluation of potential antiemetic therapies during the preclinical phase. Our team of experienced researchers will assist you throughout your project, from experimental design to data analysis, ensuring high-quality, reliable results. To explore the full range of rodent emesis models for preclinical research, please visit the links below:
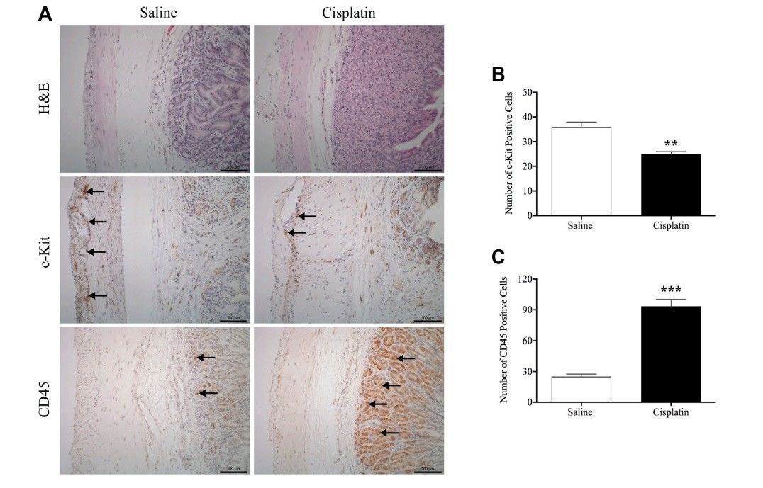
Fig. 1 Effects of cisplatin (30 mg/kg, intraperitoneal) on morphology and associated protein expression in the antrum region of the stomach in Suncus murinus.1
-
Cisplatin induced Emesis Model
- Simulates: This model replicates the vomiting episodes induced by cisplatin, a chemotherapeutic agent known to trigger acute emesis as a side effect in cancer patients undergoing treatment.
- Evaluates Drugs: The model is primarily used to evaluate antiemetic drugs, particularly those targeting the neurokinin-1 (NK1) receptor, serotonin (5-HT3) receptor antagonists, and corticosteroids.
-
GLP-1RA induced Emesis Model
- Simulates: This model is designed to mimic emesis induced by glucagon-like peptide-1 receptor agonists (GLP-1RAs), which are commonly used in the treatment of type 2 diabetes.
- Evaluates Drugs: Potential drug candidates include antiemetics targeting serotonin (5-HT3) receptors, dopamine (D2) receptors, or other gastrointestinal pathways to mitigate the side effects of GLP-1RAs.
Measurements
We offer a variety of measurements for evaluating drug efficacy in rodent emesis models, utilizing advanced technologies and methods to assess vomiting responses and the underlying mechanisms, including but not limited to:
- General observations: Frequency and duration of vomiting episodes, body weight, mortality rate, and signs of distress or dehydration.
- Histological examination: Evaluation of gastrointestinal tissues for pathological changes such as gastric mucosal injury and inflammation.
- Cytokine profiling (e.g., ELISA): Expression levels of inflammatory mediators such as TNF-α, IL-6, IL-1β, and other cytokines involved in emetic responses.
- Immunohistochemistry: Detection of neuronal activation or immune cell infiltration in brain and gastrointestinal tissues, specifically looking for changes in the areas related to the vomiting reflex.
- Neurotransmitter analysis: Measurement of serotonin (5-HT), dopamine (DA), and substance P in the brain and gastrointestinal tract, as these neurotransmitters play key roles in emesis mechanisms.
- Behavioral analysis: Monitoring of vomiting and nausea-related behaviors, such as food/water intake and grooming patterns, using video tracking and manual scoring.
In addition to established emesis models, our expertise extends to the development of novel animal models tailored to specific research needs. Our scientific team is available to assist in experimental design, model selection, and data analysis, ensuring a customized and effective approach to your project at every stage.
Related Services
In addition to emesis models, we also offer a wide range of other preclinical models for digestive diseases to support your research needs.
Advantages
- Extensive Expertise: Our team of experienced scientists specializes in a wide range of rodent disease models, ensuring precise and reliable results.
- Comprehensive Services: From experimental design to data analysis, we provide full support throughout the project lifecycle, helping you achieve your research objectives efficiently.
- Customized Solutions: We offer tailored model development and experimental strategies, based on your specific research needs, ensuring optimal results for your study.
- Advanced Technology: We utilize cutting-edge technologies and advanced techniques to provide accurate assessments of drug efficacy and disease mechanisms, improving the quality of your data.
- Quality Assurance: Our models are rigorously validated, and we adhere to strict standards, ensuring high-quality and reproducible results for your research.
Work with Us
- Summarize the project requirements and fill in the information collection form.
- Sign a CDA from both parties to further communicate information, such as targets.
- Select an animal model, discuss experimental design, and determine assay parameters.
- Project costing and project schedule forecasting.
- We provide a detailed project plan, including the required sample quantities, methods, and protocols.
- Both parties confirm the project details and start the project.
- Confirm the timeline of the project.
- We provide periodic results and information on the animal's condition.
- We will work together to make project adjustments as necessary.
- We provide a comprehensive project report promptly.
- We arrange transportation for the produced samples.
- We provide a discussion of the project results and help to arrange the next steps.
- Data storage and archiving.
FAQs
-
Q1: What types of animal models do you offer?
A1: We offer a wide range of rodent models for various diseases, including digestive system diseases, cancer, inflammatory disorders, neurological diseases, and more. Our models are meticulously designed to simulate human disease conditions for accurate preclinical evaluations.
-
Q2: How do you ensure the reliability of your models?
A2: Our models undergo rigorous validation processes, including historical data comparison and consistency in disease progression. We follow industry standards to ensure reproducibility and reliability in all experimental setups.
-
Q3: What techniques do you use for data analysis?
A3: We employ advanced technologies, including immunohistochemistry, cytokine profiling (ELISA), hematology analysis, RT-qPCR, Western blotting, and more. These tools allow us to assess drug efficacy, immune responses, histopathological changes, and other relevant biomarkers.
-
Q4: Can you help with experimental design?
A4: Yes, our scientific team works closely with clients to develop customized experimental designs based on your specific research needs. We provide expert guidance on model selection, dosing protocols, and endpoint assessments.
-
Q5: Do you provide custom model development?
A5: Absolutely! If your research requires a specific disease model that is not readily available, our team can develop custom models tailored to your study, guided by literature and prior research.
Published Data
Fig. 2 Analysis of emetic data using burst analysis.1
To facilitate the development of effective antiemetic treatments, it is essential to understand the mechanisms underlying cisplatin-induced emesis. In this study, the mechanisms were investigated using Suncus murinus, an insectivore capable of vomiting. As shown in the figure, no significant differences were observed in the emetic patterns across different time intervals, including the 0-24 hours, 24-48 hours, 48-72 hours, and the overall 0-72 hours post-treatment periods. The events per episode, mean frequency of retching and vomiting, episode duration, intervals between episodes, and cycles between episodes all remained consistent throughout the observation period.
Reference
- Tu, Longlong et al. "Insights Into Acute and Delayed Cisplatin-Induced Emesis From a Microelectrode Array, Radiotelemetry and Whole-Body Plethysmography Study of Suncus murinus (House Musk Shrew)." Frontiers in Pharmacology vol. 12 746053. 3 Dec. 2021, doi:10.3389/fphar.2021.746053. Distributed under an Open Access license CC BY 4.0, without modification.
For Research Use Only.
