- Summarize the project requirements and fill in the information collection form.
- Sign a CDA from both parties to further communicate information, such as targets.
- Select an animal model, discuss experimental design, and determine assay parameters.
- Project costing and project schedule forecasting.
Isoproterenol induced Myocardial Infarction Modeling & Pharmacodynamics Service
Creative Biolabs, with over decades of leadership in preclinical research, provides a diverse range of meticulously validated models, empowering researchers to comprehensively evaluate potential interventions against MI.
Introduction
Myocardial Infarction (MI) poses a profound global health challenge, serving as a major contributor to illness and death across the globe. Despite continuous advancements in medical and surgical interventions, MI often leads to severe complications such as heart failure, debilitating arrhythmias, and sudden cardiac death. Addressing this critical need demands innovative research into disease mechanisms and the development of novel cardioprotective and regenerative therapies. Reliable, reproducible, and clinically relevant preclinical models are therefore essential tools for dissecting the complex pathophysiology of MI and accelerating the translation of scientific discoveries into effective patient treatments.
Isoproterenol-Induced Myocardial Infarction Model
The Isoproterenol-Induced MI (ISO-MI) model offers a robust and non-surgical approach to inducing cardiac injury that closely mimics key features of human MI. The construction strategy involves systemic administration of Isoproterenol, a synthetic β-adrenergic receptor agonist, at high doses to induce oxidative stress, calcium overload, and metabolic imbalances in cardiomyocytes, leading to cell death and subsequent remodeling.
Model Construction Steps
Healthy rodents (most commonly rats or mice) are acclimatized and prepared according to ethical guidelines.
Isoproterenol is administered subcutaneously (S.C.) in a predetermined dosing regimen, often two doses given 24 hours apart. This systemic delivery ensures widespread myocardial exposure.
The high dose of ISO triggers a cascade of events leading to myocardial injury, including necrosis, inflammation, and eventual fibrosis. Animals are closely monitored for signs of distress and physiological changes.
Following the acute injury phase, the heart undergoes a remodeling process characterized by inflammation, fibroblast activation, collagen deposition, and myocyte hypertrophy, leading to cardiac dysfunction. The duration of the study can be adjusted to observe acute injury or chronic remodeling effects.
Strengths and Limitations
Strengths:
- High Reproducibility: The non-surgical administration route ensures consistent and predictable cardiac injury, yielding highly reproducible experimental results crucial for statistical validity.
- Low Mortality Rate: This model typically exhibits a low mortality rate, even with significant myocardial damage, which optimizes study efficiency and success.
- Cost-Effectiveness: Being less invasive than surgical models, it requires less specialized equipment and shorter animal recovery times, thereby reducing overall research costs.
- Clinical Relevance: It faithfully reproduces pathological hallmarks of human MI, including myocardial necrosis, oxidative stress, inflammation, and particularly, adverse ventricular remodeling, including diastolic dysfunction and myocyte hypertrophy.
- High-Throughput Capability: Its simplicity makes it well-suited for screening numerous compounds in early drug discovery phases.
- Non-Invasive Induction: Systemic administration avoids the complexities and variability associated with surgical procedures.
Limitations:
- Systemic Effects: As a systemic administration, ISO can have off-target effects on other organs, which must be considered in data interpretation.
- Acute Nature: While it induces robust acute injury and subsequent remodeling, it may not perfectly replicate all aspects of chronic ischemic heart disease stemming from progressive coronary artery atherosclerosis.
- Less Localized Injury: Unlike coronary artery ligation models, the myocardial damage is more diffuse rather than a highly localized infarct.
Evaluation Platform
Creative Biolabs offers a comprehensive suite of advanced instruments and validated tests to provide deep insights into the efficacy of your compounds in the ISO-MI model and their impact on cardiac health. Our evaluation platform covers biochemical, molecular, cellular, histopathological, and imaging analyses.
Key Test Indicators:
Cardiac Function Assessment:
- Echocardiography: Left ventricular ejection fraction (EF), fractional shortening (FS), wall thickness, chamber dimensions, and crucial indicators of diastolic function (e.g., E/A ratio).
- Hemodynamics (Pressure-Volume Catheterization): LV systolic/diastolic pressures, dP/dtmax, dP/dtmin, and pressure-volume loops to assess intrinsic myocardial contractility and LV compliance.
Histopathological Evaluation:
- Staining (H&E, Masson's Trichrome, Picrosirius Red): Infarct size quantification, assessment of cardiomyocyte necrosis (including endocardial injury), inflammatory cell infiltration, myocardial fibrosis, and myocyte hypertrophy.
- Apoptosis (TUNEL): Quantification of programmed cell death.
- Immunohistochemistry (IHC): Localization and quantification of inflammatory markers, growth factors, structural proteins, and angiogenesis.
Biochemical Biomarkers:
- Cardiac Injury: Cardiac Troponin I/T (cTnI/cTnT), Creatine Kinase-MB (CK-MB).
- Heart Failure: Brain Natriuretic Peptide (BNP), N-terminal pro-BNP (NT-proBNP).
- Inflammation: Cytokines (e.g., TNF-α, IL-1β, IL-6).
- Oxidative Stress: Malondialdehyde (MDA), Superoxide Dismutase (SOD), Glutathione Peroxidase (GPx), Catalase, Reduced Glutathione (GSH).
Molecular Analysis:
- Gene Expression (RT-qPCR): mRNA levels for genes related to inflammation, oxidative stress, fibrosis, apoptosis, and cardiac remodeling (e.g., ANP, BNP, β-MHC).
- Protein Expression (Western Blot, ELISA): Levels and phosphorylation states of key signaling molecules involved in cardioprotection.
Applications
Simulating Diseases: Reproducing key features of acute MI, cardiac hypertrophy, and the progression to heart failure and myocardial fibrosis, including aspects of diastolic dysfunction.
Evaluating Drug Candidates: Assessing the efficacy of a broad spectrum of therapeutic interventions, including:
- Cardioprotective agents
- Anti-inflammatory compounds
- Anti-fibrotic drugs
- Antioxidants and free radical scavengers
- Established classes like ACE inhibitors, ARBs, and β-blockers
Assessing Novel Therapies: Providing a robust platform for evaluating natural products, dietary interventions, stem cell therapies, gene therapies, and novel small molecules or biologics aimed at preventing, mitigating, or reversing cardiac injury.
Related Myocardial Infarction Models
Our Advantages
- Expert Scientists: Highly experienced cardiologists, pharmacologists, and histopathologists specializing in cardiovascular models.
- Standardized & Optimized Protocols: Rigorously validated protocols ensure maximum reproducibility, reliability, and low mortality.
- Customized Study Design: Flexible designs, dosing, and endpoint analyses, precisely matching research objectives and budget.
- State-of-the-Art Facilities: Advanced instrumentation for cardiac function, histopathology, and molecular analysis.
- Robust Data Reporting: Comprehensive, meticulously analyzed reports offering clear, actionable insights.
Work with Us
Inquiry Stage
Project Start
- We provide a detailed project plan, including the required sample quantities, methods and protocols.
- Both parties confirm the project details and start the project.
- Confirm the timeline of the project.
Project Progress
- We provide periodic results and information on the animal's condition.
- We will work together to make project adjustments as necessary.
Project Completion
- We provide a comprehensive project report promptly.
- We arrange transportation for the produced samples.
- We provide a discussion of the project results and help to arrange the next steps.
After-Sales Support
- Data storage and archiving.
Contact Us
Contact us today to discuss your specific needs. Our expert team is eager to provide a tailored consultation on how our Isoproterenol-Induced MI model capabilities can best support and accelerate your preclinical research goals.
FAQs
-
Q1: Why should I choose the Isoproterenol-Induced MI model over surgical ligation models for my study?
A: The Isoproterenol (ISO) model offers distinct advantages, including its non-surgical nature, which leads to higher reproducibility and a lower mortality rate compared to surgical ligation. This simplifies execution, reduces variability, and often translates into more cost-effective studies, making it an excellent choice for initial drug screening and mechanistic investigations.
-
Q2: What are the primary cardiac function readouts Creative Biolabs provides to assess the efficacy of my compounds?
A: We offer a comprehensive assessment of cardiac function using advanced techniques. Key readouts include echocardiography (measuring ejection fraction, fractional shortening, and diastolic function parameters) and invasive hemodynamics via pressure-volume catheterization (providing detailed insights into left ventricular pressures, contractility indices, and compliance).
-
Q3: Can this model be used to evaluate chronic effects of therapeutic agents on myocardial remodeling?
A: Absolutely. While the initial injury from isoproterenol is acute, the model reliably progresses to chronic phases characterized by myocardial fibrosis, hypertrophy, and persistent cardiac dysfunction. We can design study durations that extend for several weeks to months, allowing for the comprehensive evaluation of long-term therapeutic effects on ventricular remodeling.
-
Q4: Is the Isoproterenol-Induced MI model suitable for screening natural products or dietary interventions?
A: Yes, the ISO-MI model is highly suitable for this purpose. Its reproducible nature and the induction of well-defined oxidative stress and inflammatory pathways make it an ideal platform for evaluating the cardioprotective potential of natural compounds, extracts, or dietary modifications aimed at preventing or mitigating cardiac injury.
-
Q5: Can the study design for the Isoproterenol-Induced MI model be customized to fit my specific research objectives?
A: Customization is a cornerstone of our service. We recognize that each project has unique requirements. Our scientific team will collaborate closely with you to tailor every aspect of the study design, including animal strain, dosing regimens, treatment protocols, and the selection of specific endpoints, to ensure the study directly addresses your research questions.
-
Q6: How does Creative Biolabs ensure the reproducibility of results when performing Isoproterenol-Induced MI studies?
A: Reproducibility is paramount in our operations. We achieve this through strict adherence to standardized operating procedures (SOPs), rigorous animal handling protocols, precise and consistent isoproterenol administration techniques, and robust quality control measures for all assays and measurements. Our experienced technicians and scientists are extensively trained to minimize variability.
Published Data
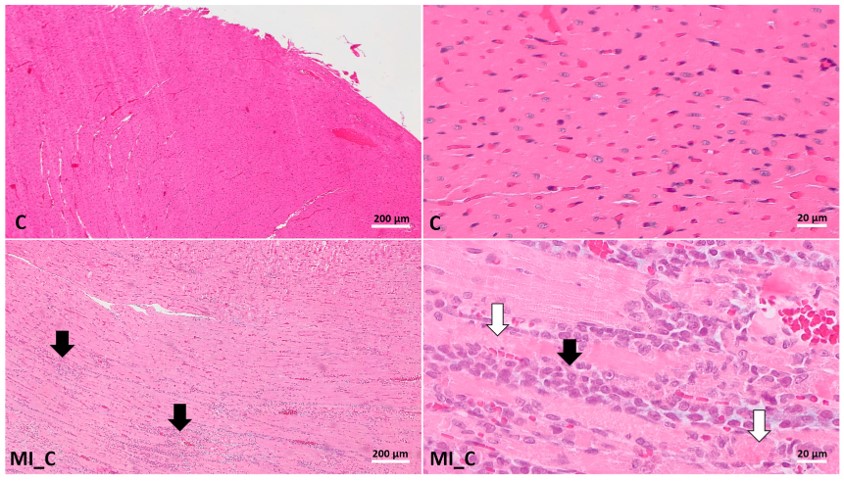
Fig.1 Study of anti-inflammatory and antioxidant effects of white grape pomace polyphenols using isoproterenol-induced MI model.1
The Isoproterenol-Induced MI model is a widely accepted and valuable tool in preclinical research. For example, a study investigated the cardioprotective effects of white grape pomace (WGP) extract on ISO-induced MI. Researchers administered WGP extract to animals with ISO-induced MI and observed significant reductions in myocardial inflammation and oxidative stress markers, alongside improvements in histological changes associated with MI. These findings underscore the model's utility in demonstrating the efficacy of natural products as potential cardioprotective agents, showcasing its relevance for identifying novel therapeutic strategies.
Reference
- Pop, Raluca Maria et al. "Anti-Inflammatory and Antioxidant Effects of White Grape Pomace Polyphenols on Isoproterenol-Induced Myocardial Infarction." International journal of molecular sciences vol. 26,5 2035. 26 Feb. 2025, DOI:10.3390/ijms26052035. Distributed under Open Access license CC BY 4.0, without modification.
For Research Use Only.
