Alloxan induced Type I Diabetes (T1D) Modeling & Pharmacodynamics Service
Creative Biolabs offers a variety of well-established models for assessing Type 1 Diabetes, enabling comprehensive drug efficacy evaluations. Our models are designed to simulate the disease accurately and support testing of novel therapeutic interventions.
Introduction
Type 1 Diabetes (T1D) is a chronic autoimmune disorder characterized by the destruction of insulin-producing beta cells in the pancreas, leading to insulin deficiency and hyperglycemia. Unlike Type 2 Diabetes, which is primarily driven by insulin resistance, Type 1 Diabetes is an autoimmune condition where the body's immune system mistakenly attacks its own pancreatic cells. The onset of T1D typically occurs in childhood or adolescence, and without adequate insulin replacement, it can lead to life-threatening complications such as diabetic ketoacidosis, cardiovascular diseases, and kidney damage. Currently, insulin therapy is the main treatment, but researchers are exploring new therapies to address the root cause of the disease.
Disease Models and Applications
The Alloxan-Induced Type 1 Diabetes Model is widely used to study insulin-dependent diabetes. This model is induced by administering alloxan, a chemical that selectively destroys pancreatic beta cells, leading to hyperglycemia. The model replicates key features of Type 1 Diabetes, such as insulin deficiency and immune-mediated damage. Alloxan causes selective toxicity to beta cells, impairing insulin secretion and mimicking the metabolic and immunological aspects of T1D. One advantage of this model is its relatively fast onset of diabetes, typically within 1-2 weeks of alloxan administration, making it ideal for short-term studies. However, the model's main limitation is that it does not fully recapitulate the autoimmune nature of T1D, as alloxan-induced diabetes is chemically driven rather than immune-mediated. Additionally, the model's use is constrained by the fact that alloxan toxicity can affect other pancreatic cells, leading to inconsistent results depending on the dose.
- Simulates: The Alloxan-Induced Type 1 Diabetes Model simulates Type 1 Diabetes by inducing beta-cell destruction and subsequent insulin deficiency, which closely mimics the metabolic dysfunction seen in human T1D.
- Evaluates Drugs: This model is used to evaluate various therapeutic interventions, including insulin replacement therapies, immunosuppressive treatments, and beta-cell regeneration strategies. It helps assess the effectiveness of drugs aimed at restoring insulin production, preventing further beta-cell destruction, or improving metabolic control in diabetic mice.
Measurements
We offer a variety of measurements for evaluating drug efficacy in the Alloxan-Induced Type 1 Diabetes Model, utilizing advanced technologies, including but not limited to:
- General observations: Blood glucose levels, body weight, mortality rate, food and water intake, and general activity levels.
- Immunohistochemistry: Analysis of immune cell infiltration (e.g., T-cells, macrophages) in pancreatic islets and surrounding tissues.
- Cytokine profiling (e.g., ELISA): Measurement of inflammatory mediators such as TNF-α, IL-6, IL-1β, and IFN-γ in serum or pancreatic tissue.
- Hematology analysis and serum biomarkers: Evaluation of blood glucose, insulin levels, and other metabolic biomarkers.
- Gene/protein expression profiling: RT-qPCR and Western blot analysis to assess beta-cell function, apoptosis markers, and immune-related pathways.
- Histopathological analysis: Examination of pancreatic tissue for beta-cell destruction, islet inflammation, and fibrosis.
In addition to the established Alloxan-Induced Type 1 Diabetes Model, our expertise extends to the development of other diabetes models, such as STZ-induced and genetic models, to better meet your research needs. Our scientific team is available to assist in experimental design, model selection, and data analysis, ensuring the best approach to your project.
Related Services
In addition to the Alloxan-Induced Type 1 diabetes model, we offer other models for inducing Type 1 diabetes, such as streptozotocin (STZ)-induced diabetes and non-obese diabetic (NOD) mouse models. Each of these models provides unique insights into the disease mechanisms and therapeutic potential of various interventions.
- Non-Obese Type I Diabetes Mouse Model
- Streptozotocin (STZ) induced Type I Diabetes Model
- db/db Type II Diabetes Mouse Model
- Intrauterine Growth Retardation (IUGR)-Diabetic Model
- STZ-NA induced Type II Diabetes Rat Model
- Zucker Diabetic Fatty (ZDF) Type II Diabetes Rat Model
- High-Fat Diet & Streptozotocin (STZ) induced Type II Diabetes Model
- Combined Spleen & Partial Pancreas Resection & Glucocorticoid induced Type II Diabetes Model
Advantages
- Expertise and Experience: We specialize in developing and utilizing animal models for Type 1 Diabetes, with a proven track record in research and drug evaluation.
- Tailored Solutions: We work closely with you to customize experimental designs and select the most suitable models for your research goals.
- Comprehensive Support: Our scientific team provides full-service support, from model selection to data analysis, ensuring the success of your project at every stage.
- State-of-the-Art Technologies: We utilize cutting-edge techniques, such as cytokine profiling, gene expression analysis, and histopathology, for precise and accurate results.
- Reliable Results: Our models deliver reproducible, high-quality data, ensuring that your findings are scientifically sound and ready for publication or regulatory submission.
Work with Us
- Summarize the project requirements and fill in the information collection form.
- Sign a CDA from both parties to further communicate information, such as targets.
- Select an animal model, discuss experimental design, and determine assay parameters.
- Project costing and project schedule forecasting.
- We provide a detailed project plan, including the required sample quantities, methods, and protocols.
- Both parties confirm the project details and start the project.
- Confirm the timeline of the project.
- We provide periodic results and information on the animal's condition.
- We will work together to make project adjustments as necessary.
- We provide a comprehensive project report promptly.
- We arrange transportation for the produced samples.
- We provide a discussion of the project results and help to arrange the next steps.
- Data storage and archiving.
FAQs
-
Q: What is the Alloxan-Induced Type 1 Diabetes Model?
A: The Alloxan-Induced Type 1 Diabetes Model is a chemically induced model where alloxan is used to selectively destroy pancreatic beta cells, leading to insulin deficiency and hyperglycemia.
-
Q: How long does it take for Alloxan to induce diabetes in mice?
A: Diabetes typically develops within 1-2 weeks after the administration of alloxan, resulting in elevated blood glucose levels and impaired insulin secretion.
-
Q: Can this model be used to study immune therapies?
A: While the Alloxan model is chemically induced, it is useful for studying therapies aimed at restoring insulin production, beta-cell regeneration, and metabolic control, but it does not fully replicate the autoimmune aspects of Type 1 Diabetes.
-
Q: What other models do you offer for studying Type 1 Diabetes?
A: In addition to the Alloxan model, we offer other models such as STZ-Induced Type 1 Diabetes and Non-Obese Diabetic (NOD) mice, each providing unique insights into the disease.
-
Q: What measurements can be used to evaluate the progression of diabetes in Alloxan-treated mice?
A: Key measurements include blood glucose levels, body weight, insulin secretion, histopathological analysis of pancreatic tissue, and immune cell infiltration.
Published Data
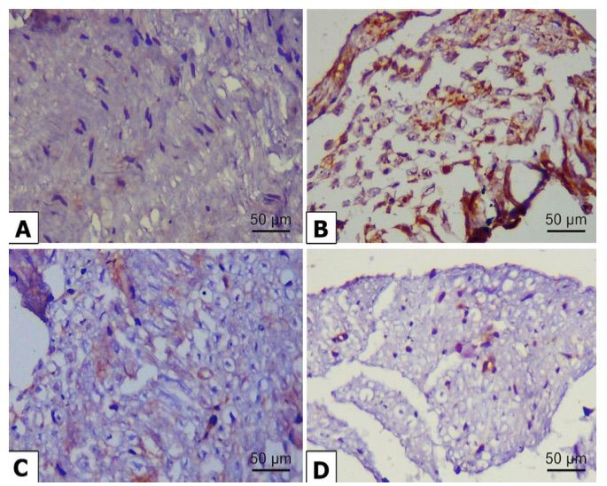
Fig. 1 Representative microscopic images displaying the levels of
P62 immuno‐expression in the sciatic nerve fibers of alloxan‐induced diabetes in rats.1
The objective of the current study was to develop a more bioavailable form of chrysin and investigate its effects on neuropathy induced by alloxan in male rats. Microscopic images of sciatic nerve fibers were analyzed to assess the expression levels of p62 in the alloxan-induced diabetic rats. In the control group, p62 expression was minimal (Figure 1A), while a significant increase in p62 expression was observed in the alloxan-treated group (Figure 1B). These results suggest that impairing the autophagy process may lead to elevated p62 expression. Treatment with chrysin-loaded phospholipids (Chr-PLs) resulted in a marked reduction in p62 expression (Figure 1D), indicating a potential therapeutic effect of chrysin in mitigating neuropathy.
Reference
- Abd El-Emam, Mahran Mohamed et al. "Chrysin-loaded PEGylated liposomes protect against alloxan-induced diabetic neuropathy in rats: the interplay between endoplasmic reticulum stress and autophagy." Biological Research vol. 57,1 45. 9 Jul. 2024, DOI:10.1186/s40659-024-00521-1. Distributed under an Open Access license CC BY 4.0, without modification.
For Research Use Only.
