Spontaneously Hypertensive Rat (SHR) Modeling & Pharmacodynamics Service
Creative Biolabs is proud to offer a comprehensive suite of well-established models, including the spontaneously hypertensive rat (SHR), to evaluate antihypertensive efficacy and understand disease progression.
Introduction
Hypertension, or high blood pressure, remains a leading global health challenge, contributing significantly to heart attack, stroke, and renal failure. Its complex, multifactorial nature necessitates robust and translationally relevant preclinical models for effective drug discovery and mechanistic studies. As recognized by leading scientific bodies, well-characterized animal models are indispensable tools for unraveling the complexities of this disease.
Spontaneously Hypertensive Rat Model
The SHR stands as a premier in vivo model for essential hypertension, consistently recognized as a gold standard in cardiovascular research. This model spontaneously develops sustained hypertension, closely mirroring the polygenic and multifactorial characteristics observed in human essential hypertension. SHRs are invaluable for investigating the intricate pathophysiology of elevated blood pressure, evaluating novel antihypertensive compounds, and exploring the interplay between hypertension and associated comorbidities, including cardiac hypertrophy, renal dysfunction, vascular remodeling, and even cognitive decline.
Fig.1 Schematic function of SHR model.1,3
Model Construction Steps
The SHR model was meticulously developed through a strategy of selective breeding. Originating from a Wistar Kyoto (WKY) rat colony in Japan in 1963, the strain was established by repeatedly selecting and breeding individuals exhibiting elevated blood pressure across successive generations.
01Step 1: Initial Selection
From a normotensive WKY rat colony, individuals showing slightly elevated blood pressure were identified.
02Step 2: Selective Breeding
These individuals were then selectively bred over many generations, with offspring exhibiting higher blood pressure being chosen for subsequent breeding.
03Step 3: Strain Stabilization
Through rigorous inbreeding and continuous selection for the hypertensive phenotype, the SHR strain was established, consistently producing offspring that spontaneously develop hypertension. The WKY rat serves as the primary normotensive control strain for SHR studies.
Strengths and Limitations
Strengths:
- Spontaneous Hypertension: Develops hypertension naturally without external manipulation, mimicking human essential hypertension.
- Genetic Basis: Hypertension is genetically determined, reflecting the complex polygenic nature of the human condition.
- Pathophysiological Parallels: Exhibits key features of human hypertension, including cardiac hypertrophy, vascular remodeling, and renal dysfunction.
- Translational Relevance: Responds to established antihypertensive therapies, demonstrating strong predictive validity for drug screening.
- Mechanistic Insights: Valuable for studying the roles of the sympathetic nervous system, renin-angiotensin-aldosterone system (RAAS), immune system, and gut microbiota in hypertension.
- Cognitive Relevance: Also serves as a model for hypertension-related cognitive impairment and cholinergic dysfunction.
- Well-Characterized: Extensive historical data and research make it a highly understood and reliable model.
Limitations:
- Specific Hypertension Type: Primarily models essential hypertension and may not fully replicate all subtypes or comorbidities (e.g., does not spontaneously develop macroscopic atherosclerosis or vascular thrombosis).
- Species-Specific Differences: As with any animal model, findings require careful translation to human physiology.
Evaluation Platform
Creative Biolabs provides a comprehensive evaluation platform utilizing state-of-the-art instruments and assays across biochemical, molecular, cellular, histopathological, behavioral, and imaging modalities. Our expert team conducts thorough analyses to provide robust data.
Test Indicators (Test Parameters):
- Physiological: Blood pressure (systolic, diastolic, mean arterial pressure via telemetry or tail-cuff), heart rate, ECG, cardiac output, vascular resistance.
- Biochemical: Plasma renin activity, aldosterone levels, inflammatory markers (e.g., cytokines), oxidative stress markers, renal function markers (e.g., creatinine, BUN, proteinuria).
- Histopathological: Organ weight (heart, kidney), cardiac hypertrophy (e.g., cardiomyocyte size, fibrosis), vascular remodeling (e.g., media-to-lumen ratio, vessel stiffness), renal injury (e.g., glomerulosclerosis, tubular damage).
- Molecular/Cellular: Gene expression (RT-qPCR), protein expression (Western blot, immunohistochemistry), cellular signaling pathways, immune cell infiltration.
- Behavioral (for cognitive aspects): Memory and learning tasks (e.g., Morris water maze, novel object recognition).
Applications
- Disease Modeling and Pathophysiology: Employed to simulate essential hypertension and its associated comorbidities, including hypertension-induced cardiac hypertrophy, heart failure, hypertensive nephropathy, renal dysfunction, and even hypertension-related cognitive decline. It is also used to elucidate the underlying molecular and cellular mechanisms of these conditions.
- Antihypertensive Drug Discovery and Evaluation: Serves as a critical platform for screening novel antihypertensive compounds, assessing the efficacy of various drug classes (e.g., ACE inhibitors, ARBs, diuretics, calcium channel blockers), and evaluating vasodilators, vasoprotective agents, and neuroprotective therapies.
- Investigating Therapeutic Strategies: Utilized to explore the effectiveness of diverse treatment approaches, including pharmacological interventions, dietary modifications, nutritional therapies, and genetic or epigenetic interventions, thereby supporting the development of comprehensive therapeutic strategies.
Related Hypertension Models
Our Advantages
- Unparalleled Expertise: Our team of seasoned biologists offers deep scientific knowledge and practical experience in SHR model utilization.
- Superior Model Quality: We ensure consistent genetic integrity and health status through stringent colony management and rigorous quality control.
- Comprehensive Capabilities: From model supply to advanced in vivo pharmacology studies, we provide end-to-end research solutions.
- Customized Study Design: We collaborate closely to tailor experimental protocols that precisely align with your unique research objectives.
- Reliable & Reproducible Data: Our commitment to scientific rigor ensures the highest standards of data quality and reproducibility.
Work with Us
- Summarize the project requirements and fill in the information collection form.
- Sign a CDA from both parties to further communicate information, such as targets.
- Select an animal model, discuss experimental design, and determine assay parameters.
- Project costing and project schedule forecasting.
- We provide a detailed project plan, including the required sample quantities, methods, and protocols.
- Both parties confirm the project details and start the project.
- Confirm the timeline of the project.
- We provide periodic results and information on the animal's condition.
- We will work together to make project adjustments as necessary.
- We provide a comprehensive project report promptly.
- We arrange transportation for the produced samples.
- We provide a discussion of the project results and help to arrange the next steps.
- Data storage and archiving.
Contact Us
Leverage Creative Biolabs' expertise and high-quality SHR models to accelerate your hypertension research. Contact us today to discuss how our tailored services can support your next breakthrough.
FAQs
-
Q1: How does the SHR model differ from induced hypertension models like DOCA-salt or Angiotensin II?
A: Unlike induced models that rely on external manipulations (e.g., surgical procedures or pharmacological agents), the SHR model develops hypertension spontaneously due to genetic factors. This intrinsic development provides a more accurate representation of human essential hypertension, which is often idiopathic and complex, making it ideal for studying long-term disease progression and genetic predispositions.
-
Q2: What specific organ damage can be observed in SHRs?
A: SHRs consistently exhibit key target organ damage similar to human hypertension. This includes significant cardiac hypertrophy, a thickening of the heart muscle, and progressive renal dysfunction. While they show vascular remodeling, it is important to note they typically do not spontaneously develop macroscopic atherosclerosis or vascular thrombosis, distinguishing them from models focused on those specific pathologies.
-
Q3: Can the SHR model be used to study hypertension-related cognitive decline?
A: Absolutely. Recent research has highlighted the SHR's utility in neurological studies. These rats exhibit age-related impairments in memory-related tasks and demonstrate alterations in the cholinergic system, including differences in M1 and M2 receptor densities and reduced expression of α3-containing nicotinic receptors. This makes them a valuable tool for investigating the complex interplay between hypertension and cognitive function.
-
Q4: Are there specific drug classes that show particular efficacy or inefficacy in SHRs?
A: Yes, the SHR model provides valuable insights into drug responses. For instance, SHRs typically respond well to RAAS-targeted drugs like ACE inhibitors and ARBs. However, endothelin receptor antagonists, while effective in some other models like DOCA-salt, have shown limited efficacy in SHRs. This differential response helps in refining drug development strategies.
-
Q5: Does Creative Biolabs provide specific sub-strains of SHR, such as SHR-SP?
A: Yes, Creative Biolabs offers specialized sub-strains, including the stroke-prone SHR (SHR-SP). This sub-strain is particularly valuable for research focused on cerebrovascular events, as these animals spontaneously develop cerebral hemorrhage or infarction, making them a more relevant model for stroke studies in a hypertensive context.
-
Q6: How do you ensure the genetic stability and health of its SHR colonies?
A: Our SHR colonies are meticulously managed in state-of-the-art vivaria, adhering to stringent environmental controls. We implement rigorous quality control processes, including regular genetic monitoring and health screening, to ensure the consistent genetic integrity and optimal health status of our animals. This commitment guarantees the reproducibility and reliability of your experimental results.
Published Data
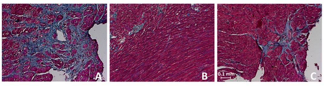
Fig.2 Hearts of untreated control and treated SHR in trichrome staining.2,3
In this study, researchers investigated the efficacy of late-onset antihypertensive treatment in old SHRs. The project results demonstrated that while significantly lower blood pressure values were achieved in young SHRs with shorter treatment periods, late-onset therapy in old SHRs also effectively reduced blood pressure and mitigated the development of cardiac damage. Notably, cardiac fibrosis was significantly attenuated only in young SHRs, emphasizing the critical importance of early intervention in hypertension management.
References
- Bhat, Mehvish, et al. "A current review on animal models of anti-hypertensive drugs screening." Health Sciences Review 6 (2023). https://doi.org/10.1016/j.hsr.2023.100078
- Hawlitschek, Christina et al. "How Effective Is a Late-Onset Antihypertensive Treatment? Studies with Captopril as Monotherapy and in Combination with Nifedipine in Old Spontaneously Hypertensive Rats." Biomedicines vol. 10,8 1964. 12 Aug. 2022. https://doi.org/10.3390/biomedicines10081964
- Distributed under Open Access license CC BY 4.0, without modification.
For Research Use Only.
