Renal Artery Stenosis induced Hypertension Modeling & Pharmacodynamics Service
At Creative Biolabs, we provide a comprehensive suite of well-established and rigorously validated hypertension models to accelerate your drug discovery programs.
Introduction
Hypertension, or high blood pressure, represents a pervasive global health challenge, significantly increasing the risk of cardiovascular disease, stroke, and kidney failure. Its complex etiology often involves multiple physiological systems, making effective therapeutic development a critical endeavor. Preclinical animal models are indispensable for dissecting the mechanisms of hypertension and evaluating novel interventions
Renal Artery Stenosis-Induced Hypertension Model
The renal artery stenosis (RAS)-induced hypertension model is a gold standard in cardiovascular research, meticulously designed to mimic renovascular hypertension, a common secondary form of high blood pressure in humans. This model faithfully recapitulates the chronic activation of the renin-angiotensin-aldosterone system (RAAS) and associated neurohumoral and inflammatory pathways, which are central to the pathogenesis of the disease. It serves as an invaluable platform for investigating disease progression, identifying novel therapeutic targets, and rigorously evaluating the efficacy of potential antihypertensive agents and strategies aimed at mitigating end-organ damage.
Fig.1 RAS-induced renovascular hypertension.1
Model Construction Steps
The construction of the RAS-induced hypertension model involves surgically constricting one or both renal arteries in experimental animals, typically rats or mice, to induce a controlled reduction in renal blood flow. This precise partial occlusion reliably initiates the pathophysiological cascade leading to sustained hypertension.
01Animal Preparation
Animals are anesthetized, and appropriate sterile surgical techniques are employed to ensure animal welfare and minimize infection risk.
02Surgical Exposure
A flank incision is made to expose the left renal artery, which is carefully dissected free from surrounding tissues.
03Artery Constriction
A specialized device, such as a metal clip (e.g., U-shaped silver clip) or a polyurethane cuff, is precisely placed around the renal artery. The internal diameter of the clip or cuff is critical for consistent hypertension induction, with common sizes ranging from approximately 0.12 mm to 0.25 mm in murine models, depending on the desired severity and species.
04Closure and Recovery
The incision is carefully closed, and the animal is allowed to recover under close monitoring, with appropriate analgesia provided.
05Hypertension Development
Hypertension typically develops within 1 to 2 weeks post-clipping, becoming sustained for chronic studies.
Strengths and Limitations
Strengths:
- Clinical Relevance: Closely mimics human renovascular hypertension, including RAAS activation and end-organ damage.
- Reproducibility: With precise surgical techniques and calibrated clips/cuffs, the model consistently induces sustained hypertension.
- Versatility: Applicable for evaluating a wide range of therapeutic agents targeting various aspects of hypertension and its complications.
- Historical Validation: Has been extensively used and validated over decades, initially in larger animals like dogs and now predominantly in rodents.
Limitations:
- Surgical Expertise: Requires highly skilled surgical teams to ensure consistent and successful clipping/cuff placement.
- Variability: Despite meticulous technique, some variability in hypertension severity can occur depending on the exact degree of stenosis.
- Not All Hypertension Types: Specifically models renovascular hypertension; not suitable for all forms of primary hypertension.
Evaluation Platform
Creative Biolabs' state-of-the-art evaluation platform provides comprehensive phenotyping capabilities for the RAS-induced hypertension model, utilizing advanced instruments across multiple disciplines. Key test indicators include:
- Biochemical & Molecular: Plasma renin activity, angiotensin II/aldosterone levels, inflammatory, and oxidative stress markers.
- Renal Function: Creatinine, BUN, proteinuria, GFR, and electrolyte balance.
- Cardiovascular & Histopathological: Blood pressure (tail-cuff, telemetry), cardiac hypertrophy (HW/BW ratio, echocardiography), vascular remodeling, and kidney/cardiac fibrosis histology.
- Cellular & Behavioral: Relevant cellular assays and behavioral assessments (where applicable).
- Imaging: Advanced imaging for organ structure and function.
Applications
- Disease Simulation: This model effectively simulates renovascular hypertension and its associated complications, including hypertensive nephropathy, cardiomyopathy, and vascular remodeling disorders.
- Drug Evaluation: It is ideal for evaluating a wide range of therapeutic agents, such as RAAS inhibitors (ACE inhibitors, ARBs, direct renin inhibitors, aldosterone antagonists), various antihypertensives (diuretics, beta-blockers, calcium channel blockers), and novel anti-inflammatory, anti-fibrotic, or antioxidant compounds.
- Treatment Assessment: The model supports the assessment of diverse interventions, encompassing pharmacological agents (acute and chronic), gene therapy, cell-based therapies, and nutritional approaches.
Related Hypertension Models
Our Advantages
- Robust Models: High success rates and minimal variability in hypertension induction due to optimized protocols and skilled execution.
- Comprehensive Analysis: Full suite of advanced analytical techniques for in-depth mechanistic and efficacy assessments.
- Customized Solutions: Flexible study designs tailored precisely to your unique research objectives and compound profiles.
- Translational Focus: Models designed to provide data highly relevant and predictive for human clinical outcomes.
Work with Us
- Summarize the project requirements and fill in the information collection form.
- Sign a CDA from both parties to further communicate information, such as targets.
- Select an animal model, discuss experimental design, and determine assay parameters.
- Project costing and project schedule forecasting.
- We provide a detailed project plan, including the required sample quantities, methods, and protocols.
- Both parties confirm the project details and start the project.
- Confirm the timeline of the project.
- We provide periodic results and information on the animal's condition.
- We will work together to make project adjustments as necessary.
- We provide a comprehensive project report promptly.
- We arrange transportation for the produced samples.
- We provide a discussion of the project results and help to arrange the next steps.
- Data storage and archiving.
Contact Us
Creative Biolabs is committed to advancing your preclinical research. We provide reliable, high-quality services utilizing the RAS-induced hypertension model. Contact us today to discuss how our expertise can accelerate your drug discovery efforts.
FAQs
-
Q1: How long does it typically take for hypertension to develop in the RAS model?
A: Following surgical constriction of the renal artery, hypertension typically manifests within a relatively short timeframe. Generally, a significant and sustained elevation in blood pressure can be observed within one to two weeks post-clipping, making it a suitable model for both acute and chronic studies.
-
Q2: What is the primary mechanism driving hypertension in this model?
A: The core mechanism involves the activation of the RAAS. Reduced blood flow to the clipped kidney triggers renin release, leading to increased levels of angiotensin II and aldosterone. These hormones then exert powerful vasoconstrictive effects and promote sodium and water retention, consequently elevating systemic blood pressure.
-
Q3: Are there differences in the hypertension induced by the 2K1C versus the 1K1C model?
A: Yes, distinct characteristics exist between these two variants. The 2K1C model often results in renin-dependent hypertension initially, mimicking unilateral RAS, while the 1K1C model, due to the complete reliance on the clipped kidney, tends to produce more severe and rapid hypertension, which can transition to a renin-independent phase over time.
-
Q4: What are the critical parameters for successful model establishment?
A: Achieving consistent and reliable hypertension in the RAS model hinges on several critical factors. These include the precise surgical technique for renal artery constriction, the selection of an appropriate clip or cuff size, and meticulous postoperative care to ensure animal well-being and minimize confounding variables.
-
Q5: Can this model be used to study organ damage beyond the kidneys?
A: Absolutely. The chronic hypertension induced by the RAS model reliably leads to significant target organ damage throughout the cardiovascular system. This includes cardiac hypertrophy and fibrosis in the heart, as well as vascular remodeling and dysfunction in systemic arteries, making it ideal for comprehensive organ protection studies.
-
Q6: Does Creative Biolabs offer custom study designs for this model?
A: Yes, we recognize that each research project has unique requirements. Our team works closely with clients to develop tailored study designs, allowing for customization of model duration, specific treatment regimens, and the selection of relevant endpoints to perfectly align with your research objectives.
-
Q7: Is the RAS model suitable for studying the reversibility of hypertension?
A: While primarily used for inducing hypertension, variations of the RAS model, particularly those involving removable clips or cuffs, can be adapted to investigate the reversibility of hypertension and associated organ damage following intervention. This provides valuable insights into the potential for disease regression.
Published Data
Fig.2 Representative images of the hearts and kidneys in 2K-1C rats.2
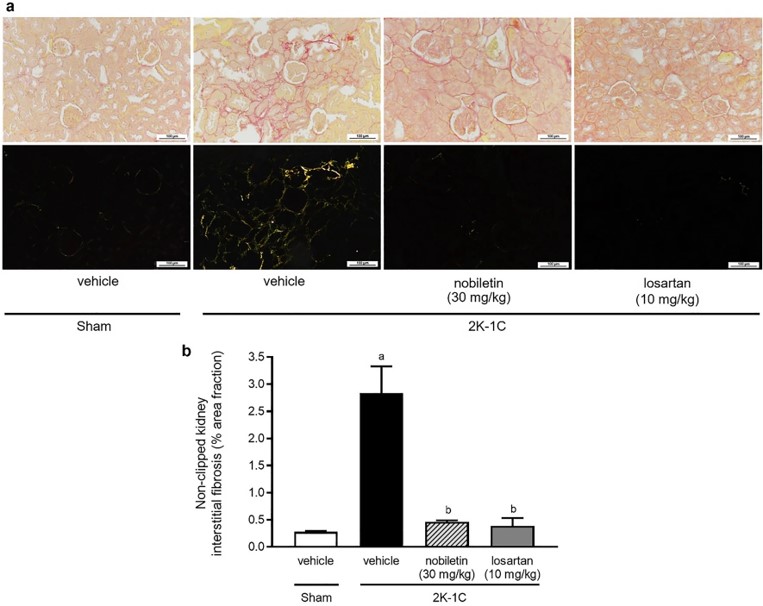
Fig.3 Effects of nobiletin on renal fibrosis in 2K-1C rats.2
The study using the two-kidney, one-clip (2K-1C) hypertensive rat model investigated the effects of nobiletin, a polymethoxylated flavone. Results showed that nobiletin (30 mg/kg) significantly reduced high blood pressure, circulating angiotensin II, and angiotensin-converting enzyme activity in 2K-1C rats. Furthermore, nobiletin alleviated left ventricular dysfunction and remodeling, reduced renal damage and fibrosis, and attenuated oxidative stress by modulating the AT1R/JAK/STAT and AT1R/Nox4 pathways. This demonstrates the model's utility for evaluating novel compounds with multi-target effects on cardiorenal health in hypertension.
References
- Gomez, Jose A. "Renin Angiotensin Aldosterone System Functions in Renovascular." Renin-Angiotensin Aldosterone System (2021): 79. Distributed under Open Access license CC BY 3.0, without modification. DOI: 10.5772/intechopen.97491
- Iampanichakul, Metee et al. "Nobiletin resolves left ventricular and renal changes in 2K-1C hypertensive rats." Scientific reports vol. 12,1 9289. 3 Jun. 2022. Distributed under Open Access license CC BY 4.0, without modification. https://doi.org/10.1038/s41598-022-13513-6
For Research Use Only.
