Digestive System Disease Modeling & Pharmacodynamics Services
Introduction
Digestive system diseases encompass a wide range of conditions affecting the gastrointestinal (GI) tract, including the esophagus, stomach, intestines, liver, and pancreas. Common examples include acid reflux disease, Crohn's disease, ulcerative colitis, liver cirrhosis, and pancreatic cancer. These diseases can arise from genetic, environmental, and lifestyle factors, leading to symptoms such as abdominal pain, bloating, diarrhea, constipation, and weight loss. Early diagnosis and effective treatment are crucial for managing these conditions, as some can progress to chronic or life-threatening stages if left untreated. Creative Biolabs offers comprehensive preclinical research services utilizing animal models to study digestive system diseases. Our services include in vitro and in vivo studies to assess disease mechanisms, evaluate therapeutic interventions, and test drug efficacy. Using advanced animal models, we provide tailored research to support the development of novel treatments and diagnostic tools for digestive system disorders.
Disease Models
Creative Biolabs offers a wide range of well-established rodent models for digestive system diseases, including models for inflammatory bowel disease (IBD), colitis, gastric ulcers, and liver disorders. These models are meticulously designed to simulate human digestive diseases and are accompanied by comprehensive evaluations of various parameters, enabling the accurate assessment of therapeutic candidates during the preclinical phase. Our team of experienced scientists will work collaboratively with you throughout your project, from experimental design to data interpretation, ensuring high-quality and reliable results. To learn more about the digestive system disease models available for preclinical research, please explore the links below:
Fig.1 Protocol to examine the relationship between inflammatory bowel disease and severity of myocardial infarction.1
Measurements
We offer a variety of measurements for evaluating drug efficacy in digestive system disease models, utilizing an array of advanced technologies, including but not limited to:
- General observations: body weight, mortality rate, stool consistency, and gastrointestinal bleeding.
- Cytokine profiling (e.g., ELISA): Expression levels of inflammatory mediators such as TNF-α, IL-6, and IL-1β.
- Hematology analysis and serum biomarkers (e.g., liver enzymes, bilirubin levels).
- Gene/protein expression profiling via RT qPCR and Western blot techniques.
- Immunohistochemistry: Infiltration of immune cells (e.g., T-cells, macrophages) in gastrointestinal tissues.
In addition to the established digestive disease models, our expertise extends to the development of novel animal models tailored to specific research needs, guided by literature and prior studies. Our scientific team is available to assist in experimental design, model selection, and data analysis, ensuring a customized and effective approach to your project at every stage.
Related Services
Explore our comprehensive range of preclinical models beyond digestive system diseases, designed to support diverse therapeutic research.
Inflammation & Immunological Disease Models
Infectious Disease Animal Models
Ear Disorder Models
Reproductive System Disease Models
Skin Disease Models
Advantages
- Comprehensive Model Selection: We offer a wide range of well-established models for various digestive system diseases, such as inflammatory bowel disease (IBD), colitis, gastric ulcers, and liver disorders. This provides flexibility and ensures that the most suitable model can be selected for specific research needs.
- Advanced Detection Methods: Utilization of cutting-edge technologies, such as cytokine profiling, immunohistochemistry, RT-qPCR, and Western blot, ensures precise and reliable data on drug efficacy and disease mechanisms. This enables thorough and accurate assessments of therapeutic interventions.
- Tailored Research Support: Our experienced scientists offer personalized support throughout the research process, from experimental design to final data analysis. This ensures that the research is optimized for the most relevant and reliable results.
- In-Depth Analysis of Disease Mechanisms: With a focus on histopathological, molecular, and immune assessments, the company provides a deeper understanding of disease pathology, facilitating the identification of novel therapeutic targets and mechanisms.
- Customizable Models for Specific Needs: Our expertise in developing new and customized animal models ensures that the models can be tailored to meet specific research objectives. This flexibility improves the relevance and accuracy of preclinical findings.
Work with Us
- Summarize project requirements and fill in information collection form
- Sign CDA for further communication on targets
- Select animal model, discuss experimental design, determine assay parameters
- Project costing and schedule forecasting
- Provide detailed project plan with sample quantities, methods, protocols
- Both parties confirm details and start project
- Confirm project timeline
- Provide periodic results and animal condition updates
- Collaborate on necessary project adjustments
- Provide comprehensive project report promptly
- Arrange transportation for produced samples
- Discuss results and help arrange next steps
- Data storage and archiving
Frequently Asked Questions
-
Q1: How do we confirm the project after execution?
A1: Once the project is confirmed, we provide a detailed project plan, including required sample quantities and experimental details. After mutual agreement on the plan, we officially begin the project.
-
Q2: How is project progress monitored?
A2: Throughout the project, we regularly update clients on the progress, animal status, and any necessary adjustments. Clients are kept informed with timely reports, ensuring transparency and collaboration.
-
Q3: What happens when the project is completed?
A3: Upon completion, we provide the client with a comprehensive report summarizing the project's results. We also arrange for the shipment of any produced samples. Discussions regarding the results and next steps will follow.
-
Q4: What does after-sales support include?
A4: After the project is completed, we store the data for future reference and provide any necessary assistance with follow-up or additional analysis if required.
-
Q5: How long does the entire process take?
A5: The timeline depends on the scope and complexity of the project. During the pricing inquiry stage, we provide an estimated timeline, which is refined after the project execution plan is confirmed.
Published Data
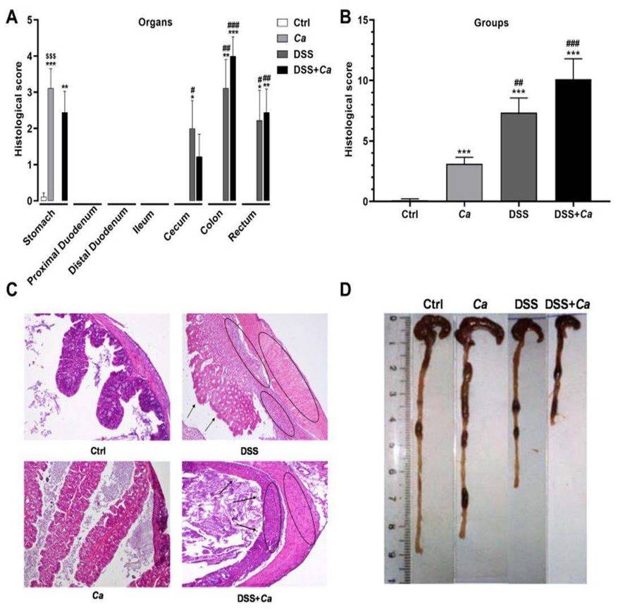
An IBD model was established by dextran sulfate sodium (DSS) administration in drinking water, alone or with oral C. albicans (Ca) gavage. Histopathological examination of the gastrointestinal tract in this rodent model was conducted to assess the extent of inflammation. (A) Histopathology scores were assigned to each organ and specific section of the gastrointestinal tract based on the severity of damage. (B) An overall gastrointestinal tract inflammation score was calculated for each experimental group, reflecting the extent of the inflammatory response. (C) Representative H&E-stained colon sections (40× magnification) were examined to assess tissue damage. (D) Representative images of the colon at day 17 were taken, and colon length was measured across different experimental groups to assess the impact of DSS treatment on gastrointestinal function.
Fig. 2 Histological analysis of the gastrointestinal tract in DSS-treated animals.1
Reference
- Mami, Wael et al. "Inflammatory Bowel Disease Increases the Severity of Myocardial Infarction after Acute Ischemia-Reperfusion Injury in Mice." Biomedicines vol. 11,11 2945. 1 Nov. 2023, doi:10.3390/biomedicines11112945. Distributed under an Open Access license CC BY 4.0, without modification.
For Research Use Only.
