Histoplasmosis
Creative Biolabs is a leading service provider in the field of antifungal drug discovery. We have a professional team with extensive experience and advance technology platforms to help global customers develop novel drugs against Histoplasma capsulatum. Our service portfolio includes target identification and validation, Hit identification, Hit to lead, Lead optimization, and IND enabling.
What is the Histoplasmosis?
Histoplasmosis is a lung infection caused by inhaling H. capsulatum fungal spores. It occurs in people with healthy and suppressed immune systems. Most people who infect the fungus have no symptoms. However, the risk of symptoms increases when people breathe in more spores. The possible symptoms including fever, dry cough, chest pain, joint pain, and red. The severe symptoms may include excessive sweating, shortness of breath, and coughing up blood.
What Cause Histoplasmosis?
Spores of the fungus H. capsulatum are a leading cause of Histoplasmosis. This fungus is a dimorphic ascomycete that is primarily found in its hyphal form in damp soil that is rich in organic material, especially contaminated with bird or bat droppings. People are possibly infected with the spores of fungus H. capsulatum through touching the soil contaminated with bird or bat droppings or breathing the air suspended by the spores. Upon inhalation of spores, H. capsulatum transforms into the pathogenic yeast phase. This form replicates within macrophages that carry the yeast from lungs to virtually any organ. In general, most people with infections can recover spontaneously, but in some people with compromised immune systems may suffer a high risk of histoplasmosis dissemination.
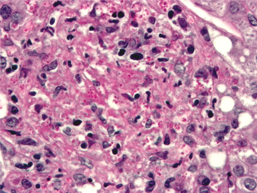
Fig.1 Histoplasma (bright red, small, circular). PAS diastase stain. Distributed under CC BY-SA 3.0, from Wiki, without modification.
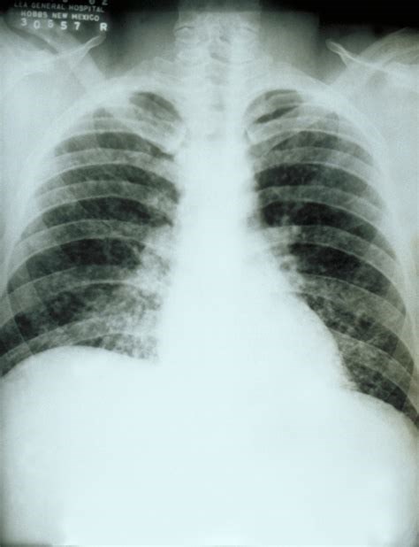
Types of Histoplasmosis
Distributed under CC BY-SA 4.0, from Wiki, without modification.
Chronic cavitary pulmonary histoplasmosis refers to progressive cavitation of the lung in those with underlying lung disease. It is usually bilateral and involves the upper lobes. The presentation is similar to chronic pulmonary aspergillosis with productive cough, increasing shortness of breath, weight loss, night sweats and sometimes fever.
Disseminated histoplasmosis is defined as a clinical condition where the fungus is present in more than one location. Most people who develop this severe form of histoplasmosis are immunocompromised or taking systemic corticosteroids.
Acute pulmonary histoplasmosis is the most common form of the disease, and symptoms typically include fever, headache, malaise, and cough. It occurs at any age, but very young children and older adults are more likely to be affected by this infection. There is no gender predilection and both males and females are at equal risk.
How to Prevent Histoplasmosis?
As mentioned above, pathogenic H. capsulatum spore is primarily found in the soil with bird or bat droppings. It can spread through breathing the air suspended by spore. People with the weak immune system are more likely infected with the fungal spore. According to this information, you should avoid the followings to prevent H. capsulatum spore infections:
- Cleaning the chicken coops
- Exploring caves
- Cleaning or tearing down old buildings
- Remodeling homes
- Digging in soil or chopping wood where there are droppings of bird and bat
If you can’t avoid high-risk areas, you also can wear a respirator mask when you are exposed to fungal spores. Besides you also improve your physical fitness to reducing the risk of fungal infections.
Treatment of Histoplasmosis
If you have a mild infection, you probably won’t need treatment and the H. capsulatum infections will recover spontaneously when you take enough rest and have a relaxed mood.
If you have a severe symptom such as a trouble breathing or longer than one-month infections, you may require oral antifungal medication, even need intravenous injection treatment.
Creative Biolabs has years of experience in the drug targets discovery including antifungal drugs. Not only the technology platform but also the aspect of the experienced team of experts all try to do better to provide omnidirectionally, personalized, the high-quality services for global clients. Please contact us for more details or a detailed quote.
For Research Use Only.
